A juventude sempre tem um ídolo a ser seguido, seja um astro do rock ou um grande professor. As pessoas, incluindo os grandes mestres, muitas vezes não conseguem visualizar sua influência positiva na formação de seus alunos. Quando ingressei no curso de Especialização em Ortodontia da UERJ, sem noção de Ortodontia, de consultório e nem mesmo de docência, eu precisava de uma luz de orientação. A presença de professores de boa alma e altruístas marcou meu rumo a seguir. Entre esses professores, destaco o Prof. Jonas Capelli Jr. — mestre que apresento nessa entrevista. Sendo ele oriundo da primeira turma desse curso, é sempre espelho para nós. É Diretor do Board Brasileiro de Ortodontia e Ortopedia Facial (BBO) e já recebeu diversos prêmios: entres eles, o prêmio de melhor relato de caso do ano de 2007 publicado no AJO-DO. Possui mais de 60 artigos publicados em revistas cientificas. Portanto, ser coordenador dessa entrevista não poderia ser mais gratificante e cheio de satisfação pessoal, pois sei, com orgulho, que com essa entrevista podemos adquirir uma gama de conhecimentos para nossa prática clínica e científica em nossa amada especialidade, bem como podemos conhecer um pouco desse professor que tem marcado a trajetória de seus alunos e da Ortodontia brasileira, sempre de maneira positiva e inspiradora.
Sissy Maria Mendes Machado
Clinicamente, o senhor percebe alguma diferença na qualidade do diagnóstico estético do sorriso, quando se usa o registro fotográfico ou a filmagem? Carlos Alexandre Câmara
Na Ortodontia, três métodos são comumente sugeridos no estudo do sorriso: o método qualitativo, o semiquantitativo e o quantitativo. O método qualitativo é estritamente visual; o ortodontista observa o sorriso do paciente e avalia, por exemplo, a altura da linha do sorriso. No método semiquantitativo, a análise do sorriso é feita por meio de uma fotografia; e, no quantitativo, a altura da linha do sorriso é determinada por instrumentos de medição, podendo variar desde abordagens mais simples até as mais sofisticadas1.
A captura da imagem do sorriso por meio da fotografia apresenta algumas dificuldades. Sua padronização é difícil devido às diferenças de posicionamento das câmeras, ao controle da distância do paciente ao ponto focal, à angulação da cabeça e à impossibilidade de se obter a repetição do sorriso em diferentes sessões fotográficas2.
A captura da imagem por meio de uma filmadora, com a montagem de uma videografia e posterior análise em programas de computador, parece ser um método bastante eficiente na análise dinâmica da fala e do sorriso3.
Clinicamente, creio que a qualidade do diagnóstico estético pode muito bem ser estabelecida pelo registro fotográfico; além disso, o ortodontista está em contato com o paciente durante a consulta inicial, tendo a oportunidade de visualizar as variáveis envolvidas no processo de diagnóstico. Já para as pesquisas que envolvem a análise do sorriso em diferentes tempos, em que diferentes medições serão feitas, o registro por filmagem se mostra uma ferramenta valiosa. Nossos estudos com filmagens utilizando a frase “Tia Ema torcia pelo antigo time da Tchecoslováquia”, seguida de um sorriso (frase elaborada com a orientação de uma fonoaudióloga, que traduziu foneticamente a frase em inglês “Chelsea eats cheesecake on the Chesapeake”, elaborada por Ackerman e Ackerman2), tem se mostrado bastante eficiente na análise da exposição dos dentes e tecidos moles em diferentes intervalos de tempo4,5.
Nossos vídeos possuem, em média, 12 segundos de duração, compondo um total de cerca de 360 quadros de imagem por filme. Esses vídeos são analisados e fragmentados — no repouso, durante a fala e no sorriso —, obtendo-se quadros estáticos (correspondentes às fotografias) para análise, por exemplo, da exposição máxima e mínima de incisivos. Um exemplo desse método de trabalho pode ser visto na Figura 1.
Quais são os principais parâmetros estéticos que guiam seu planejamento ortodôntico? Carlos Alexandre Câmara
Nossos principais parâmetros estão listados a seguir, e são ilustrados nas Figuras 2 a 7:
1) Exposição dos incisivos (Fig. 2): considerando-se o comprimento e elevação do lábio e a altura vertical da maxila.
2) Espaço lateral negativo, ou corredor bucal (Fig. 3): existem muitos trabalhos publicados, com manipulação digital de imagens, apresentando diferentes opções de exposição do corredor bucal. Parece consenso que o corredor mínimo é o mais atraente2,3,5.
3) Arco do sorriso (Fig. 4): considerando-se que, em um arco de sorriso ótimo, as curvaturas das bordas incisais coincidem com a borda do lábio inferior no sorriso (“consonante”). O lábio inferior pode tocar, não tocar ou cobrir ligeiramente a borda incisal dos dentes superiores.
4) Curvatura do lábio superior (Fig. 5) – três opções: para cima, quando o canto da boca é mais alto do que a posição central; reta, quando o canto da boca e a posição central estão no mesmo nível; para baixo, quando o canto da boca está mais baixo do que a posição central. As curvaturas para cima e reta são consideradas mais estéticas do que a curvatura para baixo. A curvatura do lábio superior é guiada pela musculatura, não sendo, portanto, alterada pela terapia ortodôntica.
5) Simetria do sorriso (Fig. 6): as comissuras movem-se para cima e lateralmente, no sorriso, mas pode haver uma diferença na quantidade e direção de movimento entre os lados direito e esquerdo. Caso haja uma diferença grande, essa pode ser devida à deficiência no tônus muscular de um dos lados da face.
6) Plano oclusal frontal (Fig. 7): representado por uma linha que passa da ponta do canino direito à ponta do canino esquerdo. Uma inclinação transversa pode ser causada por diferença no tempo de erupção ou por assimetria esquelética. O exame clínico é essencial para um diagnóstico diferencial entre a assimetria do sorriso, inclinação do plano oclusal e assimetria facial. A relação da maxila no sorriso não pode ser vista no modelo de estudo.
7) Componentes dentários: considerando-se tamanho, forma, cor, alinhamento, angulação e linha média. Existem bons trabalhos que contemplam esse conteúdo9.
Outro parâmetro estético que considero fundamental no planejamento do tratamento é a idade do paciente. Ao longo do tempo, homens e mulheres expõem menos os incisivos superiores e mais os incisivos inferiores, haja vista que o comprimento do lábio superior aumenta e do inferior diminui com a idade. Já foi constatado que a quantidade de exposição de incisivos inferiores após os 60 anos é equivalente à quantidade de exposição dos incisivos superiores antes dos 30 anos10.
Com a idade, os lábios passam por várias alterações que afetam a exposição dos dentes, como, por exemplo, a atrofia dos músculos, que resulta na diminuição do volume dos lábios, perda da arquitetura labial e aumento do comprimento do lábio. Essas mudanças destacam a importância de existir normas de referência relacionadas à idade, para que o planejamento de pacientes mais velhos possa ser realizado de forma mais objetiva e precisa11.
A partir dos 40 anos de idade, ocorre uma diminuição da capacidade dos músculos em elevar o lábio superior, de cerca de 2mm. Isso contribui bastante para a aparência envelhecida da pessoa, pelo fato dos dentes anterossuperiores ficarem escondidos pelo lábio superior, durante o sorriso11.
Quando recebo um paciente nessa faixa etária e com a queixa principal de insatisfação com o apinhamento nos incisivos inferiores, de que eles estão aparecendo de maneira insatisfatória nas fotografias e que isso começou a ser percebido de “uns tempos para cá”, imagino que aquele apinhamento já estava lá há algum tempo, mas que só agora ele está sendo mais exposto.
Outra característica do envelhecimento, com grande impacto estético, é o aprofundamento do sulco nasolabial. Com o passar do tempo, há perda de gordura da bochecha por atrofia, deixando a pele frouxa. Os músculos elevadores do lábio, sem encontrar resistência da bochecha, puxam o sulco para cima, causando o seu aprofundamento.
Na elaboração do plano de tratamento ortodôntico, a faixa etária do paciente deve ser considerada, uma vez que, com o aumento da idade, ocorrem mudanças na exposição de incisivos. Como regra geral, é preferível rejuvenescer o paciente a acelerar seu envelhecimento. Em casos de sobremordida exagerada, principalmente em pacientes adultos, é aconselhável intruir os incisivos inferiores a intruir os superiores, assegurando a estética jovial do sorriso ao final do tratamento. Caso seja necessário, de fato, intruir os incisivos superiores, deve-se avaliar antes a exposição de incisivos no repouso e na fala, assim como a idade e o sexo do paciente, quantificando quanto de intrusão é possível sem comprometimento estético. Em relação à exposição gengival exagerada, em termos gerais, é melhor tratar o sorriso gengival de uma forma menos agressiva, haja vista que o envelhecimento irá, naturalmente, reduzir essa característica12.
Os achados de nossos estudos na UERJ sugerem, ainda, que os indivíduos do sexo masculino são acometidos de forma mais acentuada pelos efeitos do envelhecimento. Um exemplo comparativo dessas diferenças, em fotografias de indivíduos do sexo masculino jovens e mais velhos, pode ser visto na Figura 8. Vários fatores podem transformar uma pele jovem em uma pele precocemente envelhecida, entre eles: exposição ao sol, cigarro, estresse, alterações hormonais, medicamentos e má alimentação. O principal vilão sempre foi a exposição exagerada aos raios solares. Portanto, uma maior exposição ao sol, pela prática de esportes ou atividades ao ar livre, sem a devida proteção contra os raios solares, talvez seja um dos fatores contribuintes para esse envelhecimento mais acentuado nos homens. Há de se considerar, no entanto, que o tabagismo vem sendo apontado como o principal agente de envelhecimento precoce, por ação direta sobre as fibras elásticas e da matriz colágena do tecido epitelial5.
Nos últimos anos, alguns autores começaram a questionar a validade de uma simples fotografia para a avaliação da estética e para a determinação de um plano de tratamento, sugerindo a utilização de imagens dinâmicas, registradas em vídeo. Em sua concepção, a videografia, tendo como objetivo a captação de imagens faciais dinâmicas, para o diagnóstico e plano de tratamento em Ortodontia, é um método válido? Sissy Mendes Machado
A análise facial do sorriso em fotografias padronizadas pode ser utilizada como método auxiliar no diagnóstico e planejamento do tratamento ortodôntico e cirúrgico, permitindo uma avaliação antes e durante o tratamento, assim como pode ser um instrumento confiável para comparações entre o pré- e o pós-tratamento. Entretanto, é importante ressaltar que ela pode ter validade duvidosa, por não representar, necessariamente, o pico de um determinado sorriso. Gravações de vídeo podem fornecer informações mais abrangentes para a avaliação da estética facial4,5.
A análise dinâmica do sorriso e da fala foi possível graças aos avanços da tecnologia. Hoje, o barateamento e a popularização das câmeras e filmadoras digitais torna muito fácil o acesso a esses equipamentos. Os programas de edição de imagens estão em quase todos os computadores. Isso facilitou a identificação de pontos positivos e negativos da estética facial, possibilitando, por exemplo, a observação dos efeitos do envelhecimento dos tecidos moles peribucais. A videografia pode ser utilizada em quase todos os aspectos da prática ortodôntica, como no diagnóstico e plano de tratamento, bem como na comunicação com o paciente durante as consultas e até mesmo com outros profissionais4.
A crescente percepção entre professores, pesquisadores e clínicos de que a biologia é uma importante parte da prática ortodôntica está refletida na grade curricular dos principais programas de Ortodontia no mundo. Qual a importância de se conhecer a biologia da movimentação dentária para a formação de um ortodontista e para o ortodontista clínico? Ildeu Andrade Jr.
Os programas de pós-graduação em Ortodontia sempre privilegiaram a formação e o treinamento nos alicerces da mecânica ortodôntica, haja vista que toda carga horária utilizada é nos simuladores do tipo typodont. No entanto, a clínica ortodôntica se fundamenta em parâmetros mecânicos e biológicos. A abordagem mecânica é suficiente para os tratamentos feitos no typodont; porém, na clínica, é preciso o conhecimento da biologia envolvida. Sou fã entusiasta da definição de mecanotransdução: forças mecânicas aplicadas sobre o dente não são usadas para produzir movimento mecânico, e sim para obter um estímulo biológico capaz de promover reações teciduais, modificando a posição dentária sem danos e com estabilidade13. O exercício clínico dessa definição nos faz questionar alegações como as de tipos de braquetes ou de técnicas que propõem reduções drásticas no tempo de tratamento. Ao ser atingido por uma propaganda ou por uma apresentação desse tipo, começo a raciocinar: isso é capaz de promover um estímulo biológico diferenciado? Se não, onde se fundamenta a hipótese de redução do tempo de tratamento?
Os principais periódicos de Ortodontia no mundo têm dedicado cada vez mais espaço para as pesquisas sobre a biologia da movimentação dentária. Em sua opinião, quais são os benefícios — para nós, ortodontistas, e para nossos pacientes — advindos da crescente interação entre as pesquisas biológicas e clínicas na Ortodontia? Ildeu Andrade Jr.
Fizemos um levantamento na PubMed, em março de 2013, em que pudemos observar o aumento do número de publicações disponíveis na literatura, ao empregarmos como palavras-chave a expressão “orthodontic tooth movement” (os dados estão ilustrados no Gráfico 1).
O aumento desses números tem vários significados. Primeiro, o volume total de periódicos científicos aumentou de forma impactante, dando espaço para que os trabalhos sejam efetivamente publicados. Hoje, vivemos no dilema do que ler, dada a quantidade de informações que estão disponíveis. Porém, creio que o principal motivo seja a evolução das pesquisas que têm como produto final a publicação de seus resultados. Pesquisas com biomarcadores procuram estudar a movimentação dentária ortodôntica sob as mais diferentes situações, assim como a reabsorção radicular ou a aceleração e desaceleração da movimentação dentária. Essas pesquisas, que muitas vezes envolvem a análise por biologia molecular, fizeram com que nos anos 2000, principalmente nos últimos cinco anos, tivéssemos um aumento exponencial do número de trabalhos publicados14,15. Nossos estudos quantificando diferentes marcadores presentes no fluido gengival crevicular em dentes sob movimentação procuram compreender melhor o que ocorre quando aplicamos força para induzir movimento dentário16. Como pesquisador, procuro entender melhor a cascata de eventos biológicos envolvidos na movimentação dentária. O principal benefício para o clínico é entender porque os pacientes reagem de forma diferenciada às mesmas mecânicas, aos mesmos aparelhos e às mesmas ativações. Por que os pacientes reagem de forma diferente nos ganhos do tratamento ortodôntico, assim como nas sequelas? Ter como única variável a modulação da força a ser empregada parece ser uma abordagem simplista para algo mais complexo.
Quais considera as perspectivas futuras e o possível impacto clínico das pesquisas sobre os mecanismos celulares e moleculares envolvidos na biologia da movimentação dentária? Ildeu Andrade Jr.
Quando começamos nossos estudos com fluido gengival crevicular (FGC), baseávamo-nos nos estudos da Periodontia, onde alguns trabalhos afirmam que o fluxo do FGC pode aumentar cerca de 30 vezes na periodontite, quando comparado a sulcos saudáveis17. Como o movimento dentário ortodôntico tem características inflamatório-dependentes, acreditamos que o volume do FGC seria aumentado durante essa movimentação. No entanto, pudemos observar que esse dado não se manifesta de forma consistente. O volume do fluido gengival não parece ser um biomarcador confiável para a análise da remodelação do tecido durante o tratamento ortodôntico18-21.
Em relação aos pacientes periodontais, partimos de evidências prévias que afirmam que sítios clinicamente saudáveis de indivíduos com periodontite têm níveis mais elevados de biomarcadores do FGC e de patógenos periodontais do que sítios clinicamente saudáveis de indivíduos periodontalmente saudáveis22. Ou seja, o paciente periodontal seria um paciente de alto risco no tratamento ortodôntico, por sobrepormos sinalizadores pró-inflamatórios oriundos da doença periodontal àqueles estimulados pela movimentação ortodôntica. É um cenário do caos! No entanto, em um estudo com pacientes periodontais submetidos à movimentação ortodôntica, pudemos verificar que o movimento ortodôntico de dentes periodontalmente comprometidos não resultou em mudanças significativas nos níveis de metaloproteinases de matriz no FGC23. Clinicamente, esse é um bom achado, pois nos dá maior tranquilidade para movermos dentes periodontalmente comprometidos, porém saudáveis.
Em relação ao futuro, é necessário maior conhecimento dos constituintes moleculares do fluido gengival crevicular que são mais sensíveis à movimentação dentária ortodôntica, melhor compreensão de seu significado e função biológica. Os estudos com FGC proporcionam um monitoramento não invasivo da remodelação tecidual, e podem vir a ser uma boa ferramenta tanto nos estudos da movimentação dentária quanto da reabsorção radicular ou anquilose dentária. Quanto mais se souber acerca dos mecanismos biológicos da movimentação dentária ortodôntica, mais cedo serão desenvolvidos métodos de administração farmacêutica local. A aplicação localizada de agentes bioativos combinados com a biomecânica convencional pode ser utilizada para facilitar ou dificultar a movimentação dentária.
Na prática clínica, o tratamento ortodôntico em indivíduos adultos é diferente daquele na maioria dos adolescentes, já que os adultos são mais propensos a ter dentições que já sofreram algum grau de comprometimento. Para os pacientes adultos que tenham perda óssea e de inserção, como consequência de uma invasão do espaço biológico ou por doença periodontal preexistente, baseado em sua experiência no estudo da biologia do movimento dentário, como seria o planejamento adequado considerando-se os requisitos biomecânicos e funcionais? Sissy Mendes Machado
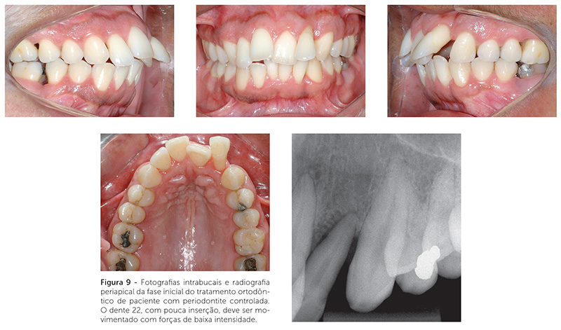
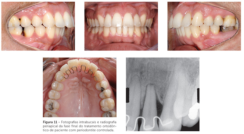
O tratamento ortodôntico de um paciente com doença periodontal não pode ser visto como um tratamento comum. Todos os casos ortodônticos exigem diagnóstico e planejamento efetivos, mas, em um paciente periodontal, esse exercício torna-se mais difícil. Deve-se ter em mente que todo tratamento deve beneficiar o paciente. Quando o periodonto está comprometido e há um planejamento ortodôntico falho, a chance do paciente ser prejudicado por um tratamento mal conduzido é grande. Por isso, esses casos exigem integração, de modo que o paciente não deve iniciar a movimentação ortodôntica sem a aprovação do periodontista, e esse deve acompanhar a situação periodontal durante todo o tratamento ortodôntico25,26. Um exemplo de movimentação dentária em paciente com pouca inserção periodontal pode ser visto nas Figuras 9, 10 e 11.
Não se deve fazer movimentação dentária na presença de doença periodontal, por diversas razões: 1) pode causar um abscesso periodontal, principalmente na presença de bolsas profundas; 2) após a terapia periodontal, ocorre a eliminação do edema e a consolidação do colágeno gengival, ocorrendo, então, acomodações dentárias que podem ser favoráveis ao posicionamento dentário e reduzir a duração do tratamento ortodôntico subsequente; 3) ao se iniciar um tratamento ortodôntico, é importante saber a altura e a espessura óssea ao redor dos dentes, e isso o periodontista, durante o tratamento cirúrgico, é capaz de observar e informar ao ortodontista25,26.
O tratamento ortodôntico de pacientes com doença periodontal controlada é, muitas vezes, um tratamento mais curto e direcionado. A redução do periodonto de suporte gera importantes implicações para o movimento dentário ortodôntico. Existe uma relação linear direta entre o suporte alveolar e a localização do centro de resistência. Conforme o osso alveolar de suporte vai sendo reduzido, o centro de resistência vai se movendo apicalmente. A intensidade e o ponto de aplicação de força durante o tratamento ortodôntico devem ser adaptados em tais situações. As forças utilizadas devem ser de magnitudes menores que aquelas utilizadas em periodontos saudáveis. Para que o movimento dentário seja mais controlado — haja vista que o centro de resistência encontra-se localizado mais apicalmente —, a colagem dos acessórios pode ser realizada mais gengivalmente.
Para pacientes adultos, o planejamento ortodôntico com objetivos ideais deve ser questionado quando houver periodonto comprometido, perda de vários dentes, ou outras condições limitantes. Esses pacientes precisam de um tratamento objetivo e direcionado para resolver seu problema de forma rápida e eficaz. Três fatores, descritos a seguir, devem ser considerados nesse momento: 1) Simplificação – buscar mecânicas que favoreçam a higienização pelo paciente. 2) Metas – ponderar qual seria o melhor resultado possível considerando-se estética, estabilidade e oclusão funcional. Normalmente, o paciente busca a melhora na estética, e isso nem sempre leva a um resultado estável, devendo ser discutido com o paciente, para que ambas as partes assumam um compromisso com o ponto aonde pretendem chegar. 3) Risco-custo/benefício – conversar com o paciente sobre os benefícios do tratamento. Os custos envolvem não apenas o valor financeiro, mas também dor, desconforto e mobilidade dentária; e os riscos são vistos como a possibilidade de se criar um problema que não havia antes, como descalcificação, reabsorção radicular, problemas mucogengivais e, até mesmo, perdas dentárias. Nesse momento, também deve-se relatar os riscos que o paciente corre caso escolha não fazer o tratamento25. As Figuras 12 a 15 ilustram um caso com objetivo realista: necessidade de intrusão dos molares superiores esquerdos para recolocação protética dos dentes antagonistas.
Qual é sua opinião sobre o tratamento ortodôntico-cirúrgico precoce com objetivos estéticos e psicossociais? Carlos Alexandre Câmara
No tratamento de pacientes Classe III, temos bons resultados nas faixas etárias de 7 a 10 anos, quando a má oclusão é leve ou moderada; na faixa etária de 17 a 19 anos, quando temos o consagrado tratamento ortodôntico-cirúrgico, ou nos casos de menores discrepâncias maxilomandibulares, temos a opção da camuflagem ortodôntica6. Na vida clínica, sempre senti um vácuo no atendimento de pacientes Classe III, com grande deformidade dentária e facial, na faixa etária de 12 a 14 anos: tarde para uma abordagem interceptativa, cedo para a cirurgia. A hipótese de aguardar o final do crescimento para se iniciar o tratamento ortodôntico-cirúrgico por vezes se mostra extremamente difícil para o paciente portador de deformidade facial severa. É difícil explicar ao paciente e responsáveis que o tratamento só acontecerá depois de 4 ou 5 anos. Portanto, o tratamento ortodôntico-cirúrgico pode ser realizado durante a fase de crescimento ativo, em casos de grandes desarmonias esqueletais, quando o paciente estiver estética, psicossocial e/ou funcionalmente comprometido7 — como pode ser visto no caso apresentado nas Figuras 16 a 20. Para que essa terapia possa ser indicada, devem ser observados critérios ortodônticos como pouca discrepância intra-arcada e possibilidade de preparo pré-cirúrgico sem grandes recolocações dentárias. Um segundo tratamento ortodôntico-cirúrgico provavelmente se fará necessário após o término do crescimento. Esse tratamento não deve ser considerado tratamento de rotina, mas sim uma possibilidade terapêutica para casos criteriosamente selecionados7,8.
Existe idade mínima para a indicação de cirurgia ortognática para pacientes em fase de crescimento? Caso haja, qual seria, para os diversos tipos de deformidades? Carlos Jorge Vogel
A idade mínima para indicação de cirurgia ortognática em fase de crescimento estará diretamente relacionada ao grau de desenvolvimento da dentição. Portanto, em todos os tipos de deformidades faciais severas em que a abordagem da cirurgia precoce for considerada — seja na hiperplasia ou hipoplasia mandibular, na hipoplasia maxilar ou na hiperplasia maxilar vertical —, o estágio do desenvolvimento dentário será determinante para o procedimento cirúrgico. O grau de desenvolvimento dos caninos superiores é importante para avaliarmos a viabilidade da cirurgia maxilar sem dano à estrutura dentária. É recomendável fazer a cirurgia de avanço mandibular após a erupção dos segundos molares inferiores; o ideal seria ter todos os dentes permanentes já irrompidos, exceto os terceiros molares. Algumas vezes, temos que esperar um pouco para realizar a cirurgia, para que ocorra maior desenvolvimento dentário. Um exemplo de paciente tratado aos 12 anos de idade pode ser visto nas Figuras 21 a 25, quando o desenvolvimento dentário já permitia as manobras cirúrgicas necessárias. O que não pode acontecer, seja por essa ou por outra razão, é propormos a cirurgia a um paciente Classe III em seus 15 ou 16 anos de idade. Essa não me parece uma abordagem sensata. Seria correto aguardar até os 18 anos de idade e realizar o consagrado tratamento ortodôntico-cirúrgico da Classe III.
Existe indicação de planejamento cirúrgico em casos de assimetria mandibular durante a fase de crescimento? Carlos Jorge Vogel
Os casos de assimetria mandibular em que há indicação de cirurgia na fase de crescimento são, principalmente, os de hiperplasia condilar. Nesse processo de crescimento assimétrico, que se acentua por volta dos 13 anos de idade, a hipótese de uma cirurgia de condilectomia alta deve ser considerada. Algumas manobras cirúrgicas com cortes na porção superior do côndilo (que cresce de forma acentuada) têm apresentado bons resultados para um posterior equilíbrio no processo de crescimento mandibular.
Quais são os casos cirúrgicos com maior probabilidade de sucesso: os de correção de hipoplasia ou os de hiperplasia? Carlos Jorge Vogel
Esses casos de pacientes Classe III com grandes deformidades anteroposteriores são comumente compostos de hipoplasia maxilar e hiperplasia mandibular. Pode-se ter o predomínio de um sobre o outro, mas o que encontramos sempre é uma combinação de ambos. A manobra de avanço maxilar tem mostrado resultados estáveis, além do fato de que grandes recuos mandibulares podem trazer algum prejuízo, diminuindo o espaço das vias áreas superiores. Apesar de termos iniciado esses tratamentos selecionando casos onde o recuo mandibular isolado era suficiente para atingir o sucesso, atualmente muitos dos casos de Classe III que temos tratado com a abordagem cirúrgica precoce têm mais avanço maxilar do que recuo mandibular7,24.
Na cirurgia de benefício antecipado, tem sido relatada como vantagem uma redução de cerca de 40 a 50% do tempo total estimado para o tratamento convencional. Em sua experiência, você vê essa vantagem? Caso sim, a que atribui essa redução de tempo? Sissy Mendes Machado
A expressão “benefício antecipado” foi criada pelo colega Dr. Jorge Faber27. Refere-se a uma abordagem para os tratamentos ortodôntico-cirúrgicos em que se inverte os tempos: de primeiro Ortodontia e depois Cirurgia, para primeiro Cirurgia e depois Ortodontia.
A abordagem “cirurgia-primeiro” indica que a cirurgia ortognática precede o tratamento ortodôntico, enquanto a abordagem “Ortodontia-primeiro” indica que o tratamento ortodôntico precede a cirurgia ortognática. O tratamento ortodôntico pré-cirúrgico tem como objetivo alinhar as arcadas superior e inferior para coordená-las em suas respectivas bases esqueletais, e eliminar as compensações dentárias. O tratamento ortodôntico na fase pré-cirúrgica é um procedimento muito importante para alcançar melhores resultados com o mínimo de recidiva6,28.
A abordagem cirurgia-primeiro trata da estética facial primeiro e da oclusão depois, enquanto a abordagem tradicional trata primeiro da oclusão e depois da estética facial. A abordagem da cirurgia-primeiro atua para resolver, ao mesmo tempo, problemas esqueletais a despeito das eventuais compensações dentárias, e uma oclusão transitória é corrigida após a cirurgia. A abordagem cirurgia-primeiro é indicada em casos que não necessitem de muita descompensação e de alinhamento ortodôntico pré-cirúrgico. São casos de: 1) dentes bem alinhados ou ligeiramente apinhados; 2) curva de Spee suave; e 3) inclinação dos incisivos de normal a ligeiramente vestibularizados ou retroinclinados28.
As principais vantagens relatadas são: 1) a queixa principal (função dentária) e a estética facial melhoram e são alcançadas já no início do tratamento; 2) o período total de tratamento é reduzido, dependendo da complexidade do tratamento ortodôntico; 3) o fenômeno do movimento dentário ortodôntico acelerado no pós-operatório reduz a dificuldade e o tempo do tratamento ortodôntico28.
Como resposta ao questionamento proposto, podemos supor que a redução no tempo total de tratamento pode estar relacionada ao fato de indicar-se a abordagem cirurgia-primeiro para casos com menor grau de complexidade. Ao ser comparado o tempo médio total da abordagem cirurgia-primeiro ao tempo médio total da abordagem tradicional, que envolve todo tipo de tratamento ortodôntico-cirúrgico, encontramos um tempo médio total menor para a primeira opção.
Outra consideração, no entanto, chama a atenção: o fato de se ter observado maior velocidade na movimentação dentária imediatamente após a cirurgia. O aumento da atividade osteoclástica e as mudanças metabólicas na região dentoalveolar, com maior expressão de marcadores da atividade óssea — como a fosfatase alcalina (ALP) e C-telopeptídeo (CTX-1) —, seriam justificativas plausíveis para essa aceleração da remodelação óssea29. É como se a cirurgia ortognática funcionasse como a injúria causada pela corticotomia alveolar seletiva. Esse é um achado interessante e demanda maiores estudos.
O Board Brasileiro de Ortodontia e Ortopedia Facial (BBO) promoveu, durante o Congresso da ABOR, realizado na cidade de Belo Horizonte/MG, o projeto-piloto do processo de certificação para recém-formados e alunos concluintes do último ano de pós-graduação em Ortodontia. Qual sua expectativa com relação aos participantes dessa atividade e qual a proposta para o futuro? Carlos Jorge Vogel
Os participantes dessa atividade seguiram esses critérios: 1) ser formado há, no máximo, 12 meses, em curso de pós-graduação em Ortodontia com carga horária total mínima de 2.000 horas; 2) ser aluno do último ano de curso de pós-graduação em Ortodontia que tivesse carga horária total mínima de 2.000 horas; 3) ser sócio em uma entidade estadual filiada à ABOR.
O convite para participar do projeto-piloto foi feito pelo presidente da ABOR aos coordenadores de cursos com carga horária total mínima de 2.000 horas.
Os 47 candidatos inscritos obtiveram aprovação nesse exame do projeto-piloto (equivalente à Fase I). A partir dessa aprovação, eles têm até 10 anos para a realização da Fase II do exame de certificação. Caso aprovados, passarão ao grau de Diplomado pelo BBO, pela aprovação no exame de “Excelência Clínica”.
É bastante provável que façamos um exame com características semelhantes em Natal/RN, no próximo congresso da ABOR.
Para o BBO, a expectativa futura passa, obrigatoriamente, por esses jovens colegas: a eles caberá decidir os rumos que nossa especialidade tomará.
REFERENCIAS
1. Van der Geld PAAM, Oosterveld P, Van Waas MAJ, Kuijpers-Jagtman AM. Digital videographic measurement of tooth display and lip position in smiling and speech: Reliability and clinical application. Am J Orthod Dentofacial Orthop. 2007;131(3):301.e1-8.
2. Ackerman MB, Ackerman JL. Smile analysis and design in the digital era. J Clin Orthod. 2002;36(4):221-36.
3. Sarver DM, Ackerman MB. Dynamic smile visualization and quantification: Part 1. Evolution of the concept and dynamic records for smile capture. Am J Orthod Dentofacial Orthop. 2003;124(1):4-12.
4. Cosendey VL, Drummond S, Capelli Jr J. Capture, analysis and measurement of images of speech and smile dynamics. Dental Press J Orthod. 2012;17(5):151-6.
5. Drummond S. Exposição dos incisivos durante a fala e o sorriso: correlação com a idade e o gênero [dissertação]. Rio de Janeiro (RJ): Universidade do Estado do Rio de Janeiro; 2011.
6. Franco A, Cosendey V, Almeida MA, Capelli Jr J. Tratamento da Classe III: cirurgia ou camuflagem? Orthod Sci Pract. 2012;5(19):333-45.
7. Capelli Jr J, Almeida RC. Orthosurgical treatment of patients in the growth period: at what cost? Dental Press J Orthod. 2012;17(1):159-77.
8. Wolford LM, Karras SC, Mehra P. Considerations for orthognathic surgery during growth, Part I: Mandibular deformities. Am J Orthod Dentofacial Orthop. 2001;119(2):95-101.
9. Câmara CA. Aesthetics in orthodontics: six horizontal smile lines. Dental Press J Orthod. 2010;15(1):118-31.
10. Vig G, Brundo C. The kinetics of anterior tooth display. J Prosthet Dent. 1978;39(5):502-4.
11. Desai S, Upadhyay M, Nanda R. Dynamic smile analysis: changes with age. Am J Orthod Dentofacial Orthop. 2009 ;136(3):310.e1-10; discussion 310-1.
12. Escossia N. Utilização de toxina botulínica do tipo A para minimizar o sorriso gengival. [monografia] . Rio de Janeiro (RJ): Universidade do Estado do Rio de Janeiro; 2012.
13. Consolaro A. Movimentação dentária induzida: biologia aplicada à prática clinica. In: Consolaro A. Reabsorções dentárias nas especialidades clínicas. Maringá: Dental Press; 2005. cap. 11, p. 303-52.
14. Krishnan V, Nair S, Ranjith A, Davidovitch Z. Research in tooth movement biology: the current status. Semin Orthod. 2012;18:308-16.
15. Andrade I, Taddei S, Souza P. Inflammation and tooth movement: the role of cytokines, chemokines, and growth factors. Seminars in Orthod. 2012;18(4):257-69.
16. Capelli J Jr, Kantarci A, Haffajee A, Teles RP, Fidel R Jr, Figueredo CM. Matrix metalloproteinases and chemokines in the gingival crevicular fluid during orthodontic tooth movement. Eur J Orthod. 2011;33(6):705-11.
17. Uitto VJ. Gingival crevice fluid: An introduction. Periodontol 2000. 2003;31:9-11.
18. Capelli Jr J, Fidel Jr Rivail, Figueredo CM, Teles RP. Change in the gingival fluid volume during maxillary canine retraction. Dental Press J Orthod. 2010;15(2):52-7.
19. Drummond S, Canavarro C, Perinetti G, Teles R, Capelli Jr J. The monitoring of gingival crevicular fluid volume during orthodontic treatment: a longitudinal randomized split-mouth study. Eur J Orthod. 2012;34(1):109-13.
20. Almeida RC, Santos D, Teles R, Capelli Jr J. Gingival crevicular fluid volume evaluation in patients with controlled periodontal disease submitted to orthodontic treatment. J World Fed Orthod. 2012;22:e9-12.
21. Perinetti G, Primozic J, Castaldo A, Di Lenarda R, Contardo L. Is gingival crevicular fluid volume sensitive to orthodontic tooth movement? A systematic review of split-mouth longitudinal studies. Orthod Craniofac Res. 2013;16(1):1-19.
22. Teles R, Sakellari D, Teles F, Konstantinidis A, Kent R, Socransky S, et al. Relationships among gingival crevicular fluid biomarkers, clinical parameters of periodontal disease, and the subgingival microbiota. J Periodontol. 2010;81(1):89-98.
23. Almeida R C. Efeito do movimento dentário nos níveis de metaloproteinases da matriz no fluido gengival de pacientes com periodontite controlada [tese]. Rio de Janeiro (RJ): Universidade do Estado do Rio de Janeiro; 2012.
24. Teixeira A, Medeiros P, Capelli Jr J. Intervenção ortocirúrgica em paciente adolescente com acentuada displasia esquelética de Classe III. Rev Dental Press Ortod Ortop Facial. 2007;12(54):55-62.
25. Almeida RC, Martins CC, Capelli Jr J. Inter-relação Periodontia-Ortodontia. In: Ortodontia em um contexto multidisciplinar. Maringá: Dental Press; 2013. cap. 4, p. 85-120.
26. Heasman PA, Millett D, Chapple I L. The periodontium and orthodontics in health and disease. Oxford: Oxford University; 1996. p. 137-59.
27. Faber J. Benefício antecipado: uma nova abordagem para o tratamento com cirurgia ortognática que elimina o preparo ortodôntico convencional. Dental Press J Orthod. 2010;15(1):144-57.
28. Liou EJ, Chen PH, Wang YC, Yu CC, Huang CS, Chen YR. Surgery-first accelerated orthognathic surgery: orthodontic guidelines and setup for model surgery. J Oral Maxillofac Surg. 2011;69(3):771-80.
29. Liou EJ, Chen PH, Wang YC, Yu CC, Huang CS, Chen YR. Surgery-first accelerated orthognathic surgery: postoperative rapid orthodontic tooth movement. J Oral Maxillofac Surg. 2011;69(3):781-5.
Agradecimentos
Gostaria de agradecer ao Dental Press Journal of Orthodontics, representado pelo editor-chefe, Dr. David Normando, e pela editora associada, Dra. Telma Martins de Araújo, pelo convite feito. Gostaria de agradecer à Dra. Sissy Mendes, pela organização da entrevista, e aos colegas Dr. Carlos Jorge Vogel, Dr. Carlos Alexandre Câmara e Dr. Ildeu Andrade Jr. pelas perguntas apresentadas, que me permitiram expor alguns pensamentos. Muito obrigado! (Jonas Capelli Jr.)
Carlos Alexandre Câmara
» Especialista em Ortodontia, UERJ.
» Presidente do Colégio de Diplomados do Board Brasileiro de Ortodontia e Ortopedia Facial (CDBBO).
» Consultor científico da Revista Dental Press de Estética.
Ildeu Andrade Jr.
» Mestre e Especialista em Ortodontia pela Marquette University, EUA.
» Doutor em Biologia Celular, UFMG.
» Professor do Mestrado em Ortodontia da PUC-MG.
Carlos Jorge Vogel
» Doutor em Ortodontia pela USP. Mestre em Ortodontia pela University of Illinois, EUA.
» Membro da Angle Society, EUA.
» Ex-presidente do Board Brasileiro de Ortodontia e Ortopedia Facial (BBO).
Sissy Maria Mendes Machado
» Especialista em Ortodontia, UERJ.
» Especialista em Odontologia do Trabalho, Faculdade São Leopoldo Mandic.
» Mestre em Odontologia, Materiais Dentários, UFPA.
» Professora do curso de Especialização em Ortodontia da ABO-PA.


























