Resumo
A necessidade de sentir-se aceito pela sociedade, principalmente com relação à beleza física, adequando-se aos padrões estéticos atuais, tem crescido exponencialmente nos últimos anos. Entretanto, o desequilíbrio emocional catalisado por esse anseio de autoafirmação é capaz de gerar comportamentos danosos ao indivíduo, como a anorexia e a bulimia. Além do prejuízo psicológico causado por essas condições, ocorrem danos físicos de importância odontológica, como a erosão dentária acelerada pelos episódios bulímicos. Esse relato de caso visa demonstrar a viabilidade de se reabilitar os dentes anterossuperiores acometidos por erosão ácida com laminados cerâmicos.
Palavras-chave: Anorexia. Bulimia. Facetas dentárias.
Abstract
The need to feel fit in society, mainly regarding to physical beauty and current esthetic standards, has been growing a lot in recent years. However, the emotional imbalance induced by this self-assertion aspiration is capable of generating harmful behavior to the subject, like anorexia and bulimia nervosa. Besides the psychological injury caused by those conditions, physical damage concerning the dentistry area occur, like accelerated dental erosion by bulimic episodes. This case report aims to demonstrate the possibility of treating anterior superior teeth affected by acid erosion with ceramic laminates.
Keywords: Anorexia. Bulimia. Dental veneers.
Introdução
Os distúrbios alimentares denominados anorexia e bulimia são transtornos psiquiátricos e sociais que causam diversos danos. Esses problemas atingem, principalmente, adolescentes e adultos jovens insatisfeitos com sua aparência, muitas vezes devido a uma necessidade de corresponder à alta cobrança da sociedade em relação à imagem corporal considerada esteticamente ideal1. A pessoa, ao se olhar no espelho, percebe-se como o oposto da realidade vivida, ou seja, enxerga-se com sobrepeso quando, na verdade, apresenta-se com acentuado grau de desnutrição2. A anorexia e a bulimia estão diretamente relacionadas entre si e dificilmente um paciente apresenta um único distúrbio isolado.
A anorexia é caracterizada pelo paciente que possui um medo intenso de engordar, mesmo estando abaixo do peso e recusando-se a manter o peso ideal necessário em relação à estatura e idade. Caracteriza-se pelas perturbações frequentes com a imagem corporal considerada esteticamente ideal, seguida de autoavaliações e negações do baixo peso corporal. Sendo mais frequente no sexo feminino, com prevalência em mulheres jovens, os casos avançados podem ser acometidos por amenorreia ou ausência de ciclos menstruais3. É caracterizada, também, pela dieta rigorosa de alimentos, evitando aqueles que levam ao ganho de peso. O indivíduo, na ânsia de alcançar uma aparência ideal, inicia uma incessante busca pelo emagrecimento, com características de perturbações emocionais4. A anorexia possui etiologia multifatorial, com envolvimento de componentes psicológicos, familiares, socioculturais, biológicos e individuais. Desse modo, é frequente a diminuição do número de refeições e da quantidade de alimento ingerido. Algumas vezes, o paciente com anorexia também desenvolve bulimia4,5.
No caso da bulimia, o paciente apresenta surtos bulímicos compulsivos, caracterizados por episódios recorrentes de ingestão descontrolada de grande quantidade de alimentos em um período curto de tempo, ocasionando um sentimento de culpa e sensação de descontrole absoluto6. Em seguida, ocorrem vômitos autoinduzidos, uso de remédios como laxantes e diuréticos, exercício físicos exagerados e dietas radicais. Frequentemente, há um elevado índice de abuso de estimulantes, como o uso de fármacos, excesso de cafeína, muitas vezes chegando a usar cocaína. O perfil dos pacientes bulímicos está associado à depressão e à baixa autoestima devido à preocupação excessiva com o peso e a forma física. Esses pacientes possuem consciência da anormalidade do fenômeno e, muitas vezes, temem não conseguir detê-lo e assim se auto-condenam por isso7.
Esse tema tem sido discutido com crescente relevância na Odontologia porque, frequentemente, é o cirurgião-dentista, a partir dos sinais e sintomas clínicos desenvolvidos na forma de surtos bulímicos característicos do quadro, um dos primeiros profissionais da saúde capazes de identificá-lo, podendo, assim, contribuir para a orientação adequada do paciente8.
As manifestações bucais de um paciente bulímico podem ser detectadas pelo cirurgião-dentista em um simples exame de rotina. As possíveis consequências para esse distúrbio são, comumente, a erosão dentária nas faces palatinas dos dentes superiores, sinais de bruxismo e abfração cervical vestibular, problemas periodontais, perda de esmalte associada à sensibilidade térmica, desidratação e inflamação dos tecidos moles pela redução do fluxo salivar, assim como a redução dos tamponantes ácidos protetores da saliva. A gravidade do impacto dessas ocorrências nos dentes e tecidos moles da cavidade bucal dependem da natureza cariogênica da dieta consumida pelo paciente. Na anamnese, o cirurgião-dentista deve ser capaz de abordar o assunto e ganhar a confiança do paciente para que seja facilitada a interrogação a respeito de hábitos alimentares e a possível existência de distúrbios alimentares9.
Pouco é sabido sobre os potenciais efeitos dos agentes erosivos sobre os materiais restauradores, como cimentos de ionômero de vidro, resinas compostas, cerômeros e cerâmicas. Esse conhecimento é importante para o clínico planejar e eleger o material restaurador a ser empregado no tratamento desses pacientes com problema de erosão intrínseca10. Estudos mostram a importância e eficiência da resina composta e das cerâmicas em proteger a superfície dentária remanescente em pacientes com erosão endógena ou exógena contínua11,12,13.
Dependendo da extensão das lesões, diferentes opções de tratamento são possíveis. Cáries e erosões limitadas podem ser tratadas com o uso de resinas compostas14. Entretanto, para lesões extensas com perda em região subgengival, restaurações diretas em resina composta podem não ser mais a melhor opção. Tratamentos protéticos com coroas, laminados ou onlays podem estar indicados15. Nesses casos, tem sido sugerido, preferencialmente, iniciar o tratamento restaurador apenas quando a desordem alimentar do paciente estiver controlada16 ou, ao menos, não antes que o período de avaliação de tal desordem tenha sido concluído17.
Mesmo quando a causa é conhecida, os achados dentários constantemente são um desafio ao dentista por sua complexidade. Em diversas situações, a condição geral do paciente afetado é controlada, sendo possível, dessa maneira, aliar tratamento médico ao longo do tratamento odontológico restaurador18.
Relato de caso clínico
Abordagem inicial
Paciente do sexo feminino, 29 anos de idade, procurou atendimento odontológico para tratamento restaurador, queixando-se de sensibilidade na região dos incisivos e pré-molares superiores ao ingerir alimentos quentes e frios, principalmente, como também a presença de apertamento dentário noturno. Durante a anamnese, as respostas referentes às informações sobre a sua saúde sistêmica e bucal retratavam normalidade e ausência de intercorrências.
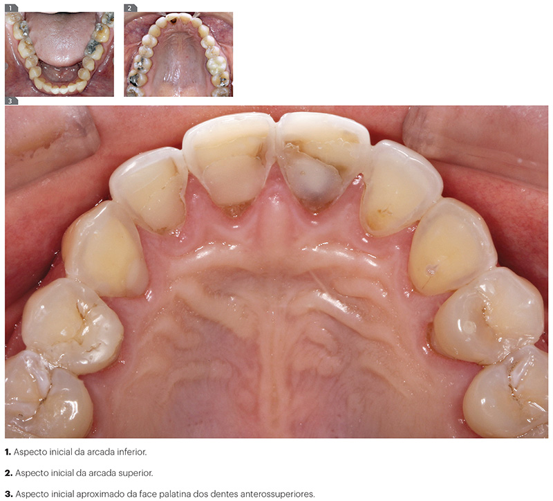
Entretanto, no exame físico intrabucal foram observadas áreas relativas à abfrações cervicais vestibulares, sinais clínicos de bruxismo nos dentes posteriores com facetas de desgaste oclusais, lesões de cáries interproximais e restaurações de amálgama com margens elevadas com sinais de corrosão. A presença de sinais clínicos de erosão ácida foi detectada nas faces palatinas dos incisivos e caninos superiores, com extensa perda de esmalte palatino e margens incisais translúcidas nos incisivos centrais, comprometendo a eficiência oclusal das guias anteriores em protrusão e lateralidade. A região cervical palatina dos pré-molares também apresentava sinais de erosão ácida. Esses achados clínicos não estavam presentes na arcada inferior, que apresentava-se mais preservada.
Diante dessas manifestações bucais, suspeitou-se da ocorrência de distúrbio alimentar. A anamnese da paciente foi retomada direcionando as perguntas de forma mais detalhada, com a finalidade de esclarecer a origem dos sinais clínicos descritos anteriormente. Nesse momento, o enfoque acolhedor das perguntas e a atitude destituída de julgamentos do cirurgião-dentista foi importante e motivou a paciente a relatar espontaneamente a ocorrência de bulimia durante vários anos. O diagnóstico de erosão ácida endógena foi confirmado. A paciente relatou estar sob acompanhamento médico e ter conseguido controlar o problema, o que a motivou a procurar tratamento odontológico (Fig. 1, 2, 3).
Planejamento
Para o sucesso em longo prazo de qualquer tratamento restaurador, o planejamento representa, após o diagnóstico assertivo, uma fase estratégica indispensável que deve considerar a individualidade de cada caso clínico para alcançar o resultado proposto em sua totalidade. Com esse propósito, foram realizados exames radiográficos e fotografias intra- e extrabucais, modelos de estudo e enceramento diagnóstico aditivo nas faces palatinas dos incisivos e caninos superiores (Fig. 4, 5, 6).
O enceramento diagnóstico teve como finalidade simular a anatomia original perdida pela erosão ácida. A partir dele, foi confeccionada uma matriz de silicone translúcido para permitir a realização do ensaio restaurador intrabucal ou mock-up (Fig. 7, 8). A preocupação nessa fase do tratamento era avaliar a interferência fonética que as restaurações palatinas poderiam provocar na pronúncia da paciente em virtude do extenso período de tempo transcorrido desde o início até o controle do distúrbio alimentar sofrido.
O material utilizado para o mock-up foi a resina composta Tetric N-Ceram A2 e resina flow (Ivoclar-Vivadent) inserida dentro da matriz correspondente às áreas afetadas, sendo o conjunto posicionado sobre os dentes anterossuperiores, seguido de fotopolimerização (Fig. 9). A paciente fez uso do ensaio restaurador durante dez dias consecutivos, e a utilização do mock-up contemplou três finalidades distintas. A primeira foi esclarecer que os espaços palatinos provocados pela erosão ácida eram suficientes para a realização de restaurações indiretas sem a necessidade de preparos dentários adicionais. Nesse período, a resina composta não se fraturou, mesmo durante a mastigação.
A segunda finalidade foi a avaliação de uma mínima interferência com a fonética. Embora a perda de esmalte tenha ocorrido lentamente ao longo do tempo, ocasionando uma adaptação e a projeção lingual, o tratamento restaurador seria instalado, diferentemente, em poucas consultas, o que poderia provocar dificuldade na fala. Esse período de uso do mock-up permitiu que a paciente assimilasse com tranquilidade o desconforto fonético que poderia ocorrer com as restaurações, assumindo uma atitude colaboradora no sentido de alcançar o resultado desejado, contribuindo determinantemente para o sucesso do tratamento.
A terceira finalidade atendida pela ensaio restaurador foi a recuperação das guias de desoclusão em protrusão e lateralidade relativas aos movimentos excêntricos mandibulares que estavam ausentes no exame intrabucal inicial. A paciente relatou conforto e bem-estar imediatos com o restabelecimento das guias incisais restauradas por resina composta por meio do mock-up.
Tratamento restaurador direto
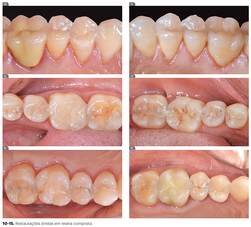
O tratamento restaurador teve início com a realização de profilaxia, seguida de aplicação tópica de flúor e instrução de higiene bucal. A partir desse momento, a paciente passou a realizar bochechos com solução de fluoreto de sódio a 1% duas vezes ao dia, para minimizar a sensiblidade dentinária. Na sequência clínica, todas as restaurações diretas Classe V e Classe II superiores e inferiores foram realizadas com resina composta Filtek Z350 XT (3M ESPE) (Fig. 10 a 15).
Laminados cerâmicos palatinos
Com a finalidade de alcançar maior previsibilidade e longevidade das restaurações palatinas superiores, laminados cerâmicos foram realizados para atender plenamente as expectativas funcionais e estéticas da paciente, haja vista que as faces incisais de incisivos e caninos também seriam restauradas20,21.
Foram realizadas moldagens com silicone de adição Virtual (Ivoclar-Vivadent) e confeccionados laminados cerâmicos prensados na cor A2 (e.max Press, Ivoclar-Vivadent), sem a necessidade de preparos dentários. Nos caninos, além da face palatina e incisal, houve extensão dos laminados cerâmicos para a vestibular, envolvendo a metade dessa face para melhorar a estética e harmonizá-los com o alinhamento dos pré-molares (Fig. 16). A cimentação adesiva dos laminados cerâmicos foi realizada com co o cimento resinoso fotopolimerizável Variolink Veneer (Ivoclar-Vivadent) com pasta 0 e fotopolimerizador Bluephase (Ivoclar-Vivadent).
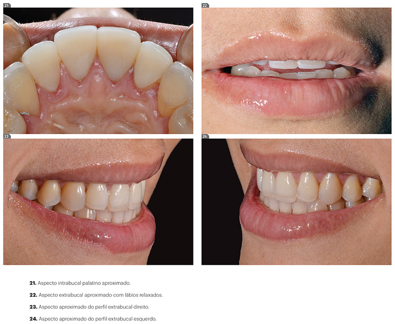
A presença dos laminados cerâmicos restabeleceu, de imediato, os movimentos excursivos mandibulares, que passaram a atender a fisiologia de uma oclusão mutuamente protegida. Mesmo assim, para controle do bruxismo e proteção dos tecidos dentários e das restaurações diretas e indiretas, confeccionou-se uma placa oclusal acrílica miorrelaxante superior para uso noturno, com guia anterior e lateralidade canina bilateral (Fig. 17). A paciente retornou para ajustes funcionais da placa miorrelaxante, reforço das instruções de higiene bucal e profilaxia final. Nessas consultas puderam ser observados os equilíbrios funcional e estético alcançados pelos procedimentos clínicos.
Após oito meses, foi realizada uma consulta de proservação. A manutenção dos resultados alcançados pode ser confirmada pelas Figuras 18 a 24. Na ocasião, ficou evidente a atitude otimista assumida pela paciente ao final dos procedimentos, sentindo-se confiante e feliz com a concretização dos resultados do tratamento que contribuíram para o restabelecimento e preservação de sua autoestima.
Considerações finais
O atendimento de pacientes adultos jovens com distúrbios alimentares tem se tornado mais frequente nos consultórios odontológicos. Em virtude das manifestações bucais provocadas por essas desordens, como a erosão ácida, elevada incidência de cárie e sensibilidade dentinária, frequentemente é o cirurgião-dentista o primeiro profissional de saúde capaz de identificar a presença dessas doenças emocionais e comportamentais1-9.
Por esse motivo, o papel do cirurgião-dentista não deverá se restringir apenas à realização de procedimentos técnicos. Durante o atendimento desses pacientes, uma abordagem mais abrangente e afetiva deverá fazer parte da rotina das consultas para alcançar um diagnóstico assertivo, contribuindo para o sucesso do tratamento e o bem-estar geral dos indivíduos ao longo do tempo.
O tratamento restaurador em si deve ser uma complementação ao tratamento psicológico como uma forma de melhorar a autoestima desse paciente. Por essa razão, é de extrema importância que o cirurgião-dentista esteja sempre atento às alterações bucais causadas por esses distúrbios e saiba prontamente reconhecê-las e, assim, poder encaminhar o paciente para o tratamento multidisciplinar, contribuindo decisivamente para impedir a progressão da doença, formulando um plano de tratamento preventivo e restaurador e, consequentemente, proporcionado uma melhoria na qualidade de vida desses pacientes.
Como citar este artigo:
Stoll LB, Junqueira Júnior AA. Distúrbios alimentares: implicações odontológicas. Relato de caso clínico. Rev Dental Press Estét. 2013 jul-set;10(3):106-17.
» Os autores declaram não ter interesses associativos, comerciais, de propriedade ou financeiros que representem conflito de interesse, nos produtos e companhias descritos nesse artigo. O(s) paciente(s) que aparece(m) no presente artigo autorizou(aram) previamente a publicação de suas fotografias faciais e intrabucais, e/ou radiografias.









