Resumo
A atrição pode explicar certas alterações que ocorrem depois de meses ou de anos de tratamento reabilitador, ocasionando mudanças na forma e nos tamanhos mesiodistal e oclusoapical das coroas dentárias, mudando a posição e a relação dos implantes dentários.
A atrição dentária pode: 1) representar um sinal de desajustes oclusais; 2) indicar hábitos parafuncionais, como o apertamento e o bruxismo; 3) reduzir o perímetro da arcada dentária, pois os pontos de contato proximal transformam-se em facetas de contato ao longo dos anos; 4) envelhecer a boca, isso por causa de alguns detalhes morfológicos que variam conforme a faixa etária do paciente, como a eliminação dos serrilhados por meio de alisamento da margem incisal, até o aparecimento de dentina, como uma linha ou faixa amarelada escura entre o esmalte vestibular e o lingual, na incisal dos incisivos e caninos; 5) agravar ainda mais o envelhecimento promovido pelo apinhamento dentário; 6) exacerbar o envelhecimento, pela perda de dimensão vertical da face; 7) estar associada ao aparecimento de diastemas entre os implantes osseointegrados e os dentes naturais, depois de alguns anos de concluído o tratamento reabilitador.
Palavras-chave: Atrição. Desgaste dentário. Demastigação.
O início
A manutenção de dentes hígidos e as reabilitações bucais que reproduzem seus padrões funcionais e estéticos aumentam o grau de exigência dos pacientes, com questionamentos cada vez mais pormenorizados sobre suas posições, cores, tamanhos e formas.
A semelhança entre nomes e conceitos memorizados justifica a confusão que ocorre entre atrição, abrasão, abfração e erosão. Isso pode dificultar a adoção de posturas preventivas, quando de um tratamento reabilitador com ou sem o uso de implantes dentários osseointegráveis.
A atrição pode explicar certas alterações que ocorrem depois de meses ou de anos do tratamento reabilitador, pois essa leva a mudanças na forma e nos tamanhos mesiodistal e oclusoapical das coroas dentárias, mexendo com a posição e a relação dos implantes dentários. Entre essas alterações está o aparecimento de diastemas entre os dentes naturais e os implantes vizinhos, assim como o apinhamento dentário anteroinferior.
“Tribologia” é a ciência que estuda o desgaste, a fricção, a lubrificação e a corrosão em Engenharia dos Materiais, especialmente na Metalurgia. Os conceitos da Tribologia para atrição, abrasão e erosão não são equivalentes aos da Odontologia. Na Metalurgia, por exemplo, o desgaste abrasivo é conhecido como “erosão”, e o desgaste por ação química, ou eletroquímica, como “corrosão”. Na Odontologia, o uso generalizado e a sedimentação dos conceitos por mais de um século dificultam a mudança e a adaptação aos conceitos da Tribologia. Dito isso, os conceitos utilizados para desgastes e perdas de tecidos dentários mineralizados no presente artigo não são extrapoláveis para materiais, especialmente para metais.
Em artigos anteriores3,4,6-11, descrevemos o conceito, história, etiopatogenia, características clínicas e implicações terapêuticas das “lesões nos tecidos dentários mineralizados induzidas diretamente por agentes físicos e químicos” para contribuir na sedimentação de conceitos mais precisos e específicos sobre cada uma dessas alterações. No presente trabalho, alguns parágrafos serão literalmente iguais aos encontrados nos trabalhos antes citados. No entanto, outras partes do trabalho são especificamente voltadas para a prática implantodôntica.
Na reabilitação bucal, o que a atrição pode representar no planejamento, durante e após o tratamento com implantes osseointegráveis? Para responder essa questão, torna-se necessário rever alguns conceitos sobre a atrição dentária.
Atrição: o conceito
“Atrição” representa o nome dado para o desgaste dos tecidos dentários mineralizados, promovido pelo contato dente com dente, sem interposição de qualquer outro fator físico, a não ser de alimentos (Fig. 1 a 8). Ela pode ocorrer nos dentes permanentes e nos temporários, ou decíduos. A lesão dentária típica da atrição se apresenta como uma faceta de desgaste bem polida.
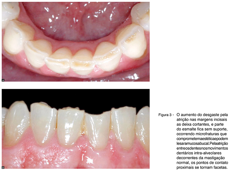
A atrição pode acontecer naturalmente, como resultado da mastigação e de outros contatos dentários fisiológicos, estabelecendo-se em forma de facetas nas bordas incisais dos dentes anteriores (Fig. 2 a 6) e nas faces oclusais dos dentes posteriores. A perda normal de esmalte, em períodos de 6 meses a 1 ano, varia de 20 a 38µm, ou seja, de 0,02 a 0,038mm17,20.
Nas faces proximais das coroas, uma forma habitual de atrição — que muito interessa ao implantodontista — é induzida pelo atrito constante entre as duas superfícies de esmalte, promovido pelos movimentos intrusivos dos dentes nos alvéolos, principalmente durante a mastigação. Esse atrito constante modifica os pontos de contato nas faces proximais, aumentando-os para facetas ou áreas de contato entre os dentes vizinhos. Com a idade, em toda a extensão da arcada dentária, de terceiro a terceiro molar, a atrição proximal pode levar a uma redução de até 1cm18. Essas modificações são próprias da idade e devem ser levadas em consideração durante as reconstruções estéticas e protéticas.
Atrições acentuadas foram diagnosticadas em crânios do início da civilização e em múmias egípcias de 5 a 3000 anos a.C. Nas raças primitivas, detectou-se que havia a perda de 1mm a cada 5 anos na altura dos dentes. As tribos esquimós, que subsistem com uma dieta típica, apresentam mais atrição, quando comparadas àquelas adaptadas a alimentos próprios dos europeus, o que denota a influência da alimentação no grau de severidade18. Os alimentos que mais desgastam a dentina são os mais abrasivos, e não necessariamente os mais consistentes.
A presença de saliva alivia o desgaste, pois indivíduos com menos, ou quase nenhuma, saliva apresentam maior grau de atrição dentária, provavelmente por uma possível ação lubrificante nas superfícies. Outra possível explicação para tal observação pode ser o efeito tampão da saliva sobre os componentes ácidos da dieta e os microbianos, que potencialmente contribuem para um maior desgaste dentário.
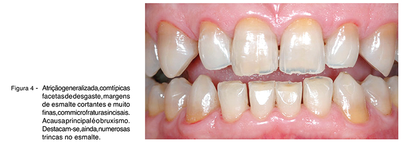
A gravidade da atrição está relacionada ao tempo de vida (Fig. 2), ao tipo de alimentação, à existência de hábitos parafuncionais (Fig. 3, 4, 5) e às características inerentes ao indivíduo, como força muscular, morfologia facial e estilo de vida1,2,12,16,17. O grau e a morfologia da atrição constituem um dos referenciais para a determinação de idade e de outras características identificadoras2,16,21 em exames odontológicos forenses.

O desgaste dentário por atrição pode ser mais rápido e intenso quando:
1) O esmalte for hipoplásico, como na fluorose dentária e na amelogênese imperfeita hereditária.
2) A dentina for displásica, como na dentinogênese imperfeita hereditária.
3) Houver distúrbios oclusais que resultem em contatos prematuros ou inadequados, com fricção mais constante e intensa.
4) Existirem hábitos parafuncionais ou vícios, como o bruxismo e/ou apertamento.
5) O paciente apresentar em seu dia a dia o vício de mascar tabaco ou outros produtos correlatos.
Atrição e os hábitos parafuncionais ou vícios
Em condições de normalidade, a atrição promove perda discreta a moderada de tecido dentário mineralizado, mas, quando presentes hábitos parafuncionais, essa perda pode ser acentuada (Fig. 4, 7). A atrição faz parte do quadro clínico de pacientes com bruxismo e apertamentos dentários, podendo levar a grandes perdas nas coroas clínicas, com redução acentuada da dimensão vertical, e pode até modificar o perfil facial do paciente e o padrão de seu sorriso (Fig. 4, 5).
Quando ocorre atrição mais acentuada em apenas um ou em poucos dentes, deve-se descobrir sua causa, que geralmente está relacionada às interferências oclusais (Fig. 3) ou a vícios posturais localizados. Um dos sinais clássicos do trauma oclusal são as facetas de desgaste nas faces oclusais e nas margens incisais (Fig. 1, 6).
Algumas populações, distribuídas por todos os continentes, têm o hábito de mascar misturas à base de tabaco, noz-moscada, cal, sementes e outros vegetais, como por exemplo o “betel”, na Índia; isso aumenta a frequência e o grau de severidade da atrição. O uso do tabaco sem fumaça, consumido por milhões de adolescentes e jovens adultos, também aumenta a frequência e a gravidade da atrição dentária, muito embora haja carência de estudos precisos sobre essa relação.
Para alguns estudiosos dos desgastes dentários, a atrição acentuada por alimentação consistente e extremamente abrasiva, e por vícios de mascar produtos como o betel e o tabaco, também tem características de abrasão. A interposição de algo estranho aos dentes em desgaste caracterizaria a abrasão, não a atrição. Esse desgaste pela interposição de algo estranho entre os dentes envolvidos, durante os movimentos mastigatórios, teria uma etiopatogenia específica e, por isso, tem denominação específica de demastigação.
Classificação da atrição
Apesar da atrição representar o desgaste promovido pelo contato com dentes antagonistas e vizinhos nas bordas incisais, nas faces oclusais e proximais, sem envolver a região cervical da coroa, muitas vezes é incluída em aulas e capítulos sobre lesões cervicais não cariosas.
Muitos livros e artigos publicados no exterior e traduzidos para o português podem contribuir para a confusão conceitual sobre os desgastes dentários18. Por exemplo, na Alemanha e nos países escandinavos, o termo “atrição” também é utilizado para designar o que chamamos de abrasão. Por isso, classificam a atrição em:
a) Fisiológica – quando resultante da idade (Fig. 1).
b) Intensificada – quando acentuada por hábitos parafuncionais, como o bruxismo, o apertamento e a alimentação excessivamente abrasiva (Fig. 4, 5).
c) Patológica – quando localizada e um só dente ou em um grupo de dentes vizinhos.
No Brasil e na maioria dos países, o conceito predominante sobre atrição é que essa corresponde ao desgaste dos tecidos dentários mineralizados, promovido pelo contato entre dentes, sem interposição de qualquer outro fator físico além de alimentos.
A atrição pode ser classificada em12:
» Grau 1 – atrição limitada ao esmalte.
» Grau 2 – atrição com dentina exposta.
» Grau 3 – atrição com exposição da dentina reacional e/ou a polpa dentária.
As consequências biológicas da atrição
O desgaste acentuado pela atrição promove a exposição de extensas áreas de dentina, com esclerose em muitos túbulos, assim como de tratos mortos em outros. Tratos mortos são túbulos vazios, sem prolongamentos odontoblásticos e sem fechamento por dentina peritubular5. Na porção central da facetas de desgaste mais amplas e profundas, nota-se clinicamente que o espaço pulpar foi atingido e, agora, apresenta-se ocupado pela dentina reacional depositada na câmara pulpar e no canal radicular (Fig. 7, 8). Apesar de acentuado, o avanço do desgaste é lento e permite esse tipo de reação do complexo dentinopulpar. A dentina reacional, nessas condições, geralmente é mais amarelada e escura.
A anatomia interna da câmara pulpar e do canal radicular de dentes com atrição geralmente é alterada, pois depositam-se numerosas camadas de dentina reacional nas superfícies pulpares correspondentes ao desgaste superficial (Fig. 7, 8). A polpa dentária reduz seu volume e quase sempre apresenta envelhecimento acelerado, marcado pela extensa hialinização e pelo fibrosamento pulpar, associados a numerosos nódulos pulpares falsos, podendo até ocorrer uma calcificação difusa da polpa (Fig. 7). Em síntese: a atrição pode acelerar o envelhecimento pulpar, mesmo em pessoas jovens5.
As margens incisais e oclusais com atrição avançada apresentam-se com arestas cortantes (Fig. 3, 4) e não raramente lesam a mucosa bucal — já que estão em contato constante. Nessa área, a mucosa se apresenta difusamente esbranquiçada (ou como uma mancha branca bem definida), às vezes erosionada pelo atrito constante e cortante. Essa alteração da mucosa é a “queratose friccional”, uma resposta hiperplásica adaptativa da mucosa a uma agressão mecânica repetitiva e constante, sem natureza neoplásica ou cancerizável.
O mecanismo compensatório da atrição na coroa clínica e estética
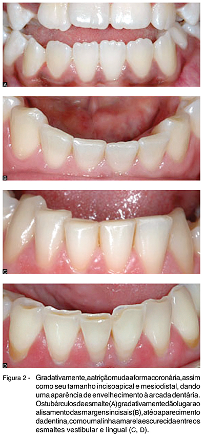
Um fenômeno importante associado à atrição é o mecanismo de compensação dos desgastes oclusal e incisal. Dentro dos limites fisiológicos, os desgastes oclusal e incisal são compensados pela deposição de cemento no terço apical da raiz. A esse mecanismo atribui-se o termo “erupção dentária passiva” que, por ser contínua e lenta, preserva a altura da coroa clínica, mesmo que a junção amelocementária fique aparente na boca13,14,15,19 e que parte da raiz fique exposta (Fig. 2D), afetando a estética coronária.
Na maior parte dos pacientes com atrição, não há perda da dimensão vertical da face por esse mecanismo compensatório. O cemento formado no terço apical, em um ritmo mais acelerado de deposição contínua, tende a ser do tipo celular; gradativamente, a forma apical da raiz vai sofrendo um arredondamento natural. Quando houver perda da dimensão vertical associada à atrição, deve-se considerar o desgaste generalizado dos dentes e a excessiva velocidade de perda da estrutura dentária.
A atrição: a estética e a prevenção
Os incisivos apresentam em suas bordas incisais três tubérculos, que propiciam o aspecto de flor-de-lis, e que permanecem assim até acontecer a atrição com aplainamento da superfície incisal (Fig. 2) e a formação de ângulos vivos com as faces livres e proximais. Ao mesmo tempo, o ponto de contato também tem relação com dentes jovens: as facetas de contato denotam maior tempo de vida transcorrido.
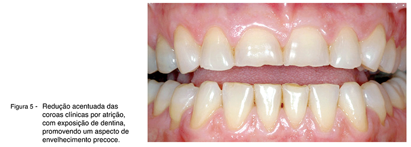
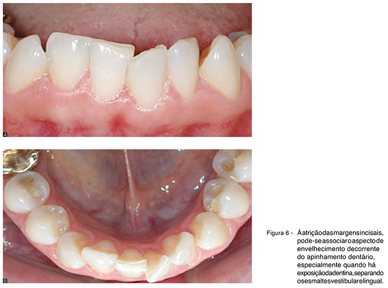
O apinhamento da região anterior já foi chamado de a “ruga” do envelhecimento nas arcadas dentárias (Fig. 6). Por extensão, pode se afirmar o mesmo para a atrição das bordas incisais. O desaparecimento do serrilhado, o aparecimento de ângulos cortantes e a exposição da dentina entre as facetas do esmalte desgastado dos dentes anteriores promovem um aspecto de envelhecimento precoce.
Nas reconstruções dos incisivos e de outros dentes que aparecem na linha do sorriso, deve-se considerar a forma original da coroa e dos pontos de contato, e compatibilizá-los à estética facial da faixa etária do paciente. A atrição, por seu efeito somatório, necessariamente está ligada ao tempo de vida e à aparência de envelhecimento, sendo agravada pela perda da dimensão vertical da face, em alguns casos.
Em um programa de saúde bucal, além dos aspectos relacionados à higiene bucal e à dieta cariogênica, as orientações devem — ou deveriam — envolver o tipo de alimentação (quanto à sua abrasividade)21, a prevenção e limitação de danos do bruxismo e do apertamento dentário, e a avaliação periódica da oclusão. Além de envelhecer precocemente a polpa dentária, a atrição afeta a forma dos dentes e a estética do paciente2,16.
Em muitos casos, a atrição será compensada com a restauração estética e funcional dos desgastes sofridos; todavia, com o uso noturno de placas de mordida, há a necessidade de se prevenir novas perdas aceleradas, evitando que o contato dos dentes durante o sono promova atrição, especialmente se o paciente for portador de bruxismo ou de outros hábitos parafuncionais.
A modificação da forma dos dentes e da linha do plano oclusal, o aplainamento da borda incisal e o aparecimento da junção amelocementária e da superfície radicular se inserem em um contexto que envolve a pele, os cabelos e o sorriso, associando-se ao aprofundamento das linhas de expressão, como o sulco nasolabial, e à dimensão vertical da face. Recuperar a estética e a função dos dentes sem se preocupar em harmonizá-los com a face, incluindo o aspecto labial, a pele e as rugas de expressão, é ter o inverso como verdadeiro, ou seja, é cuidar da face sem se preocupar com os dentes!
Nos tempos atuais, em que a estética está tão valorizada, a prevenção e a correção da atrição é relevante. Em uma população com cada vez menos perda de dentes, sua preservação vai se detalhando cada vez mais.
Implicações e situações específicas: atrição e implantes dentários
Quando do uso de próteses sobre implantes osseointegrados, deve-se considerar a possibilidade de aumento da atrição com os dentes antagonistas, quando naturais.
Por outro lado, durante a confecção de coroas protéticas deve-se considerar adequá-las à faixa etária do paciente, pois a atrição modifica características como a altura incisoapical da coroa e os ângulos faciais próximos à margem incisal, assim como transforma pontos em facetas de contato.
Pela ausência do ligamento periodontal, os implantes dentários osseointegrados, tal como os dentes anquilosados, não apresentam mobilidade intra-alveolar. Quando aplicados na região anterossuperior de pacientes mais jovens, ainda em fase crescimento, os implantes osseointegrados, tal como os dentes anquilosados, depois de alguns anos, se apresentarão em infraoclusão.
Da mesma forma, os implantes osseointegrados não sofrem o mesmo tipo e extensão de movimentação dentária natural, decorrentes dos vetores de crescimento e dos vetores funcionais próprios da idade, que tendem a levar os dentes para a região central da mandíbula.
Com o decorrer da idade, esse processo, decorrente de vetores ativos, naturalmente leva ao apinhamento dos incisivos inferiores na maior parte dos pacientes. Por muito tempo pensou-se que esses vetores resultam da presença dos terceiros molares, que “empurrariam” os demais dentes para a linha central. Agora sabe-se que mesmo sem os terceiros molares, por ausência congênita, os pacientes apresentam apinhamento dentário.
A presença de implantes osseointegrados não mudará o ocorrência dos vetores de crescimento e de acomodação da arcada dentária ao longo da vida, e não impedirá que ocorram apinhamentos, exceto em condições muito específicas. Da mesma forma, a presença de implantes osseointegrados também não impedirá que ocorram atrições proximais nos dentes naturais.
Ao longo dos anos, podem ser observados, entre os implantes osseointegrados e os dentes naturais, alguns espaços em forma de diastema, que são devidos à atrição e/ou ao apinhamento dentário. Esses espaços podem gerar impacções alimentares ou interferir na estética. Podemos compreendê-los e planejar suas readequações, mas não há muito o que fazer para impedi-los, haja vista que decorrem do processo natural de envelhecimento da arcada dentária.
Síntese e considerações finais
A atrição pode:
1) Representar um sinal de desajustes oclusais.
2) Indicar hábitos parafuncionais, como o apertamento e o bruxismo, que devem ser considerados no prognóstico do tratamento.
3) Reduzir o perímetro da arcada dentária, pois os pontos de contato proximais transformam-se em facetas de contato, ao longo dos anos.
4) Envelhecer a boca, em função de alguns detalhes morfológicos que variam conforme a faixa etária do paciente, como a eliminação dos serrilhados com alisamento da margem incisal até o aparecimento de dentina, como uma linha ou faixa amarelada escura entre os esmaltes vestibular e lingual, na incisal dos incisivos e caninos.
5) Agravar ainda mais o envelhecimento promovido pelo apinhamento dentário.
6) Exacerbar o envelhecimento, pela perda de dimensão vertical da face.
7) Estar associada ao aparecimento de diastemas entre os implantes osseointegrados e os dentes naturais, depois de alguns anos de concluído o tratamento reabilitador.
» Os pacientes que aparecem no presente artigo autorizaram previamente a publicação de suas fotografias faciais e intrabucais.
Como citar este artigo: Consolaro A, Francischone L, Consolaro RB. Attrition: aging of tooth shape, interdental spacing and its meanings. Dental Press Implantol. 2013 Apr-June;7(2):28-38.
Gostou deste artigo? Ele foi publicado originalmente na antiga Revista Dental Press Implantology, atual Journal of Clinical Dentistry and Research (JCDR), Revista Oficial da Sociedade Brasileira de Odontologia Estética. Saiba mais aqui!







