Resumo
Trauma na região de incisivos superiores é extremamente comum durante a infância. Essas injúrias ocorrem mais frequentemente nos meninos e os incisivos centrais são os dentes mais acometidos. O trauma é uma das causas físicas de reabsorção dentária inflamatória, que pode comprometer a longevidade de um elemento dentário. Existem diversas alternativas de tratamento para pacientes com ausência ou exodontia indicada de incisivo central superior, tais como: autotransplante de pré-molar, manutenção do espaço para colocação de implantes e próteses, além de fechamento ortodôntico de espaço. O fechamento de espaço ou reposição biológica é uma opção adequada, especialmente para pacientes jovens que ainda não atingiram idade suficiente para a instalação de implantes osseointegrados. Embora não seja frequente em Ortodontia, a extração de um incisivo central superior, em casos selecionados, pode ser uma boa conduta, possibilitando oclusão e estética satisfatórias com resultados permanentes. Este estudo teve como proposição a abordagem, por meio de um caso clínico, do fechamento ortodôntico de espaço como alternativa de tratamento para pacientes com reabsorção radicular avançada em um incisivo central superior devido a traumatismo.
Palavras-chave
Traumatismos dentários. Extração dentária. Incisivo. Fechamento de espaço ortodôntico.
Abstract
Trauma in upper incisors region is extremely common during childhood. These injuries occur more often in boys and the central incisors are the most affected teeth. Trauma is one of the physical causes of inflammatory root resorption, which may compromise the tooth longevity. There are several treatment options for patients with absence or indication for upper central incisor extraction, such as premolar autotransplantation, space maintenance for prosthesis/implants placement, and orthodontic space closure. The latter is a suitable option, especially for younger patients who are not old enough for dental implants installation. Although not common in orthodontics, extraction of a maxillary central incisor, in selected cases, may be a good option, enabling satisfactory occlusion, esthetics, and permanent results. This case report describes orthodontic space closure as a treatment alternative for patients with a traumatized upper central incisor with advanced root resorption.
Keywords
Tooth Extraction; Tooth Injuries; Incisor; Orthodontic Space Closure.
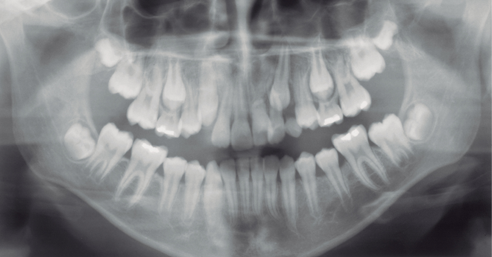
Figura 1: Radiografia panorâmica realizada aos 11 anos e 5 meses.
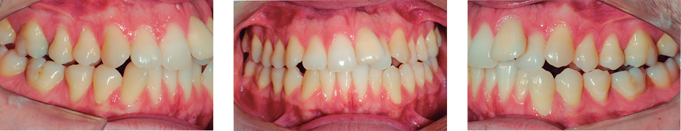
Figura 2: Fotografias extra e intraorais iniciais.
Figura 6: Set up diagnóstico.
Conclusões
Independente do tratamento de eleição, muitas dificuldades estão envolvidas para que bons resultados sejam atingidos em casos com comprometimento de um incisivo central superior. Apesar da extração deste elemento dentário não ser frequente em ortodontia, é uma excelente alternativa para os dentes com comprometimento devido a traumatismo, como descrito no caso apresentado. O fechamento ortodôntico de espaço quando há ausência ou exodontia indicada de incisivo central superior apresenta como grande vantagem o caráter permanente dos resultados e a possibilidade de correção concomitante da maloclusão existente. Tem aplicabilidade particularmente interessante em pacientes jovens cujo crescimento esquelético não foi completado, possibilitando a finalização do tratamento em uma fase precoce. Ademais, o emprego desta técnica dispensa a utilização de implantes e próteses fixas em uma região da arcada dentária onde a estética é imprescindível.
Revista Clínica de Ortodontia
Volume 12, número 6 – Dezembro/Janeiro 2013
ATENÇÃO:
Este artigo está parcialmente disponível nesta página. Para adquirir uma assinatura da
Revista Clínica de Ortodontia Dental Press visite: http://dentalcompras.com.br
Acesso aos demais resumos desta edição ou de outras acesse aqui.



