Esse artigo relata o diagnóstico, planejamento e execução do tratamento ortodôntico de uma paciente com 14 anos e 5 meses de idade, cuja queixa principal era estética e funcional. A paciente portava má oclusão de Classe I de Angle, mordida cruzada anterior e falta de espaço severo nas arcadas superior e inferior. O perfil facial era reto, com tendência a côncavo.
O tratamento ortodôntico foi realizado sem necessidade de exodontias, com a correção da mordida cruzada por meio da projeção dos dentes superiores, o que auxiliou no alinhamento e nivelamento dentário, além de melhorar o perfil facial da paciente. Esse caso foi apresentado ao Board Brasileiro de Ortodontia e Ortopedia Facial (BBO) como parte dos requisitos para obtenção do título de Diplomado pelo BBO.
Palavras-chave: Discrepância acentuada. Mordida cruzada. Ortodontia corretiva.
Introdução
A paciente se apresentou para consulta inicial aos 14 anos e 5 meses de idade, com bom estado geral de saúde, salientando que possuía rinite alérgica controlada. A mãe relatou queda da paciente, com trauma nos dentes anteriores, aos 8 anos de idade, havendo fratura na borda incisal do dente 41. Esse dente foi parcialmente restaurado na época e permaneceu assim até o dia da primeira consulta ortodôntica, não havendo rarefação apical nem alteração de sensibilidade até aquele momento.
A paciente sorria pouco e esforçava-se para não mostrar os dentes ao conversar. As queixas principais estavam relacionadas à falta de espaço acentuada nas arcadas superior e inferior, bem como à presença de mordida cruzada anterior, tendo a paciente feito o seguinte relato: “Tenho vergonha de sorrir, quero arrumar meus dentes, são muito tortos e não consigo morder direito”. Encontrava-se na curva descendente do surto de crescimento puberal, 24 meses após a menarca. Sua história odontológica incluía, ainda, boa higiene bucal, com ausência de alterações no posicionamento da língua durante os movimentos fisiológicos. Ela não havia realizado qualquer intervenção ortodôntica até aquele momento.
DIAGNÓSTICO
A paciente era adolescente, em fase de crescimento residual1. Apresentava face simétrica, com os terços proporcionais nos sentidos horizontal e vertical, e vedamento labial espontâneo (Fig. 1). Sorria muito pouco e, ao fazê-lo, escondia os dentes, o que dificultava a avaliação do sorriso espontâneo e a quantidade de exposição dentária durante esse. No sorriso forçado, o lábio superior cobria a margem cervical dos incisivos superiores.
O perfil era reto, apresentando lábios finos, pouco volumosos para o sexo feminino e retraídos em relação à linha Nariz-Mento (Linha S-Ls = -1,0mm e Linha S-Li = 0mm)2.
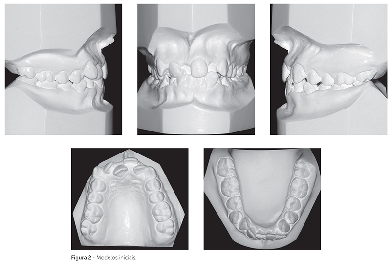
Do ponto de vista dentário, possuía má oclusão de Classe I de Angle (Fig. 1 e 2), embora os caninos superiores e inferiores estivessem em relação de topo no sentido anteroposterior. Havia apinhamento severo nas arcadas superior e inferior (discrepância superior de -10mm e inferior de -6mm) e mordida cruzada anterior dentária envolvendo os dentes 11 e 22. A sobressaliência entre os dentes 21 e 31 era de 3mm positivos, e entre os dentes 11 e 41 era de 3mm negativos. O dente 41 se apresentava fraturado e parcialmente restaurado, pois, em função da má oclusão, não havia espaço suficiente para realizar adequadamente a restauração, que fraturava constantemente. A higiene bucal era satisfatória.
Nas radiografias panorâmica e periapicais dos incisivos (Fig. 3), foi possível observar boa formação radicular de todos os dentes, ausência de rarefação apical no dente 41 fraturado e ausência de anomalias ósseas ou dentárias. Os terceiros molares estavam inclusos e no estágio 6 de Nolla, estando em fase inicial de formação radicular.
Na radiografia cefalométrica de perfil e traçado cefalométrico (Fig. 4), verificou-se um padrão esquelético equilibrado, no sentido anteroposterior, entre maxila, mandíbula e demais estruturas faciais (ANB = 1° e Ang. Convexidade = -0,5°), com padrão de crescimento e plano mandibular predominantemente horizontais (SN-GoGn = 25°, FMA = 20° e Eixo Y = 54°). Os incisivos superiores e inferiores estavam retroinclinados (1-NA = 20°, 1-NA = 6mm, 1-NB = 7°, 1-NB = 4mm e IMPA = 83,5°). Esses e os demais valores cefalométricos estão apresentados na Tabela 1.

PLANO DE TRATAMENTO
Em vista frontal, a face da paciente era harmoniosa e proporcional, porém com perfil reto, o que, para uma jovem de 14 anos, era preocupante, já que a tendência é tornar-se mais côncavo com o passar do tempo3,4. Por esse motivo, planejou-se evitar extrações dentárias, optando-se por projetar os incisivos, que estavam retroinclinados, aumentado o suporte e o volume labial, tornando o perfil mais convexo.
Havia má oclusão de Classe I de Angle, com mordida cruzada anterior dentária envolvendo os dentes 11 e 22. Como os incisivos superiores e inferiores se apresentavam retroinclinados, planejou-se obter espaço mesiodistal com aparelhagem ortodôntica fixa, pela projeção dos dentes anteriores superiores não cruzados, aumentando-se o perímetro da arcada e, em seguida, projetar os dentes cruzados, corrigindo-os e atingindo o padrão de normalidade5. A dicrepância negativa era bastante acentuada, tanto na arcada superior (-10mm) quanto na inferior (-6mm). Os caninos inferiores estavam visivelmente lingualizados, com a distância intercaninos reduzida. A solução para tal discrepância foi a própria projeção dos incisivos superiores e inferiores, permitindo-se pequeno aumento nas distâncias intercaninos e intermolares nas arcadas superior e inferior, sendo maior esse aumento entre os caninos inferiores.
Como plano de tratamento alternativo, devido à acentuada discrepância negativa de modelos, poderia-se optar por realizar extrações de quatro primeiros pré-molares. Essa alternativa teria a desvantagem de não permitir projeção suficiente dos incisivos e, desse modo, não melhorar o suporte labial. Com o passar dos anos, haveria maior possibilidade de piora no perfil facial da paciente3,4,6,7.
PROGRESSO DO TRATAMENTO
Na arcada superior, foram colados acessórios ortodônticos sistema Edgewise slot 0,022” x 0,028”, em todos os dentes, com exceção do 11 e do 22 (cruzados). Iniciou-se o tratamento com a instalação de fio de aço Twist-flex 0,015”, para o alinhamento e nivelamento iniciais. Em seguida, foram instalados arcos confeccionados com fio de aço inoxidável 0,012”, 0,014”, 0,016” e 0,018”, progressivamente, evoluindo-os a cada 30 dias, sempre com os ômegas confeccionados justos às mesiais do acessório dos primeiros molares. A cada consulta, os ômegas foram abertos em 0,5mm por lado, fazendo com que o arco fosse aumentado em perímetro e comprimento, ocasionando suave e contínua projeção nos incisivos, com expansão das arcadas.
Quando instalado o arco confeccionado com fio de aço 0,018”, foram adaptadas molas abertas comprimidas na região dos dentes 11 e 22, para auxiliar na abertura de espaço para os mesmos. Nesse momento, foram colados acessórios nesses dentes. Iniciou-se o tracionamento para vestibular dos dentes cruzados com elásticos em cadeia, força leve, diretamente entre o arco 0,018” e os acessórios colados. Nessa etapa do tratamento, os incisivos superiores estavam levemente projetados, o que proporcionou espaço suficiente para o descruzamento (Fig. 5). Ao instalar o arco 0,020” de aço inoxidável, os incisivos já tinham sido projetados o suficiente para haver espaço mesiodistal e permitir a vestibularização dos dentes 11 e 22 (Fig. 6).
Após o descruzamento, os acessórios dos dentes 11 e 22 foram recolados e novo arco 0,014” de aço inoxidável foi utilizado para alinhamento e nivelamento desses dentes. Procedeu-se a evolução em sequência dos arcos confeccionados com fios de aço inoxidável 0,016”, 0,018” e 0,020”, até chegar ao fio 0,019” x 0,025”, para se obter o controle dos torques individuais e finalizar o tratamento.
Na arcada inferior, também foram colados acessórios ortodônticos sistema Edgewise slot 0,022” x 0,028”, em todos os dentes. Vale ressaltar que, nos dentes 33, 31 e 43, os acessórios foram, provisoriamente, colados com posição mais cervical do que a ideal, para evitar contato oclusal com os dentes antagonistas. Nos dentes 35, 44 e 45, foi necessário desgastar parcialmente as aletas oclusais dos braquetes em seguida à colagem, devido à interferência oclusal nesses acessórios. Inicialmente, foi instalado arco de alinhamento e nivelamento confeccionado com fio de aço Twist-flex 0,015”. Em seguida, instalou-se arcos confeccionados com fio de aço inoxidável 0,012”, 0,014”, 0,016” e 0,018”, evoluindo progressivamente a cada 30 dias, aproximadamente, sempre com os ômegas confeccionados justos à mesial do acessório dos primeiros molares. Similar e concomitante à arcada superior, a cada consulta os ômegas foram abertos em 0,5mm por lado, fazendo com que o arco fosse aumentado em perímetro e comprimento, ocasionando suave e contínua projeção nos incisivos.
À medida que a projeção dos incisivos superiores e inferiores evoluiu, mais espaço surgiu para a recolagem dos dentes 33, 31 e 43 que, conforme já mencionado, foram colados inicialmente em posição não ideal. Esses dentes foram recolados entre três e quatro vezes, em média, até serem colocados nas posições ideais relativas aos demais dentes. Após a instalação do arco confeccionado com fio de aço inoxidável retangular 0,019” x 0,025” e ação desse sobre os torques e obtenção de correta intercuspidação, removeu-se o aparelho.
Como contenção, foi instalado, na arcada superior, aparelho removível do tipo wraparound, utilizado por tempo integral (exceto refeições e higiene bucal) por 6 meses, seguidos de mais 6 meses de uso 12 horas por dia e, depois, mais 6 meses de uso ao dormir. Após um ano e meio da remoção do aparelho, a paciente foi orientada a utilizar a contenção superior duas noites por semana, somente para dormir, por tempo indefinido.
Na arcada inferior, foi instalada barra intercaninos confeccionada com fio de aço inoxidável 0,020”, com alívio nos espaços proximais dos incisivos e caninos. O tempo previsto de permanência dessa contenção foi indefinido. Os terceiros molares foram extraídos 6 meses antes do final do tratamento.
RESULTADOS OBTIDOS
Ao final do tratamento, houve significativa elevação da autoestima da paciente. Mantiveram-se as boas proporções faciais na vista frontal e o perfil foi levemente melhorado, devido ao aumento do volume labial ocorrido pela projeção dos incisivos (Fig. 7). Houve crescimento mandibular residual, no sentido horizontal, maior que o esperado, já que a menarca havia ocorrido um ano e meio antes do início do tratamento. Caso não tivesse sido planejada a projeção dos incisivos, o perfil da paciente ficaria evidentemente côncavo. Com a projeção, a evolução do perfil com a idade se tornou muito mais favorável6,7.
Obteve-se relação de molares e caninos em chave de oclusão (Fig. 7, 8). Corrigiu-se a mordida cruzada anterior e a discrepância de modelos superior e inferior, pela projeção dos incisivos superiores e inferiores e suave expansão das arcadas (Tab. 2). A distância intermolares inferior aumentou 2mm e a superior, 3mm, durante o tratamento, enquanto a distância intercaninos inferior aumentou 5mm e a superior, 1,5mm. O maior aumento da distância intercaninos inferior ocorreu por conta da inclinação lingual acentuada apresentada pelos dentes 33 e 43, sendo corrigida durante o tratamento8. A distância intercaninos inferior média, em pacientes não tratados, é de 25mm, enquanto, no caso clínico descrito, essa estava, ao início do tratamento, em 22mm. Foram obtidas sobressaliência e sobremordida normais, com guia de desoclusão anterior em incisivos e guias de desoclusão laterais, nos lados direito e esquerdo, em caninos.
A radiografia panorâmica final mostra o paralelismo radicular obtido e, nas radiografias periapicais, pode-se visualizar a ausência de reabsorções radiculares (Fig. 9). Durante o tratamento, sugeriu-se aos pais que o dente 41 fosse restaurado. Contudo, o clínico odontológico geral solicitou que se aguardasse até o final do tratamento para realizar esse procedimento. Ao final, o dente 41 apresentou rarefação apical, conforme se observa na radiografia periapical final. A paciente foi indicada ao profissional competente para o tratamento endodôntico e restauração desse dente, os quais foram realizados um mês após a remoção da aparelhagem ortodôntic. Em controle radiográfico após seis meses, esse dente apresentava reparo periapical (Fig. 10).
O traçado cefalométrico e a telerradiografia finais (Fig. 11, Tab. 1) evidenciaram que os incisivos superiores terminaram o tratamento com projeção elevada (1-NA = 36° e 1-NA = 10mm) porém adequados clinicamente, enquanto os incisivos inferiores terminaram bem posicionados (1-NB = 25°, 1-NB = 6mm e IMPA = 92°). Ao final do tratamento, a mandíbula mostrou posicionamento mais anterior em relação à maxila, comparativamente à fase inicial, com o ANB = -1° e ângulo da convexidade = -0,5°, medidas dentro de um padrão clinicamente aceitável. O plano mandibular mostrou suave movimento anti-horário, verificado pela diminuição dos ângulos relacionados ao plano mandibular (SN-GoGn e FMA) e do Eixo Y.
Analisando-se as sobreposições dos traçados cefalométricos, verifica-se que, durante o tratamento, houve maior crescimento mandibular em relação à maxila no sentido horizontal (Fig. 12). Uma possível explicação para a movimentação anterior reduzida do ponto A, em relação ao ponto B, durante o tratamento, evidenciando menor crescimento da maxila em relação à mandíbula, pode ter sido a grande vestibularização ocorrida nos incisivos superiores. O aumento da inclinação dos incisivos superiores, com consequente movimento palatino de raiz, pode ter influenciado de maneira a posicionar o ponto A mais posteriormente, dando a falsa impressão de um crescimento deficiente de maxila.
Considerações Finais
Os resultados foram alcançados de acordo com o planejado. Obteve-se excelente estética facial, descruzando os dentes anteriores e melhorando seu alinhamento e nivelamento. A paciente se mostrou muito feliz com o resultado, com mudança de seu comportamento para melhor. Apesar do maior deslocamento para anterior da mandíbula, o perfil se manteve reto graças à projeção dos incisivos, que proporcionou suporte e volume aos lábios, com excelente estética. Atingiu-se relação dentária de chave de oclusão nos molares e nos caninos, com guias de desoclusão ideais.
» O autor declara não ter interesses associativos, comerciais, de propriedade ou financeiros, que representem conflito de interesse, nos produtos e companhias descritos nesse artigo.
» O(s) paciente(s) que aparece(m) no presente artigo autorizou(aram) previamente a publicação de suas fotografias faciais e intrabucais, radiografias ou outros exames imaginológicos e informações diagnósticas.
Como citar este artigo: Ritter DE. Class I malocclusion with anterior crossbite and severe crowding. Dental Press J Orthod. 2014 Mar-Apr;19(2):115-25.
Endereço para correspondência: Daltro Enéas Ritter
E-mail: daltroritter@hotmail.com








