Objetivo: determinar a prevalência de mesiodens nos estágios de dentição decídua e mista, e verificar sua associação com outras anomalias dentárias.
Métodos: radiografias panorâmicas de 1.995 pacientes ortodônticos foram analisadas retrospectivamente, obtendo-se uma amostra de 30 pacientes com o mesiodens. Os seguintes aspectos foram analisados: distribuição entre os sexos, número de mesiodens; se irrompido ou não irrompido; posição; complicações; tratamento instituído, e anomalias dentárias associadas. A frequência de anomalias dentárias na amostra estudada foi comparada a valores de referência para a população em geral por meio do teste qui-quadrado (c2), com um nível de significância de 5% (p < 0,05).
Resultados: a prevalência de mesiodens foi de 1,5%, sendo mais comum no sexo masculino (1,5:1). A maior parte dos mesiodens estavam não irrompidos (75%) e numa posição vertical, voltada para a cavidade bucal. O tratamento mais empregado foi a exodontia. As principais complicações associadas ao mesiodens foram o atraso na erupção dos incisivos permanentes (34,28%) e diastema mediano (28,57%). Pacientes com mesiodens não apresentaram prevalência aumentada de microdontia, agenesia de dentes permanentes ou outros supranumerários. De todas as anomalias analisadas, apenas a prevalência de agenesia de incisivo lateral superior mostrou-se aumentada em comparação à população em geral.
Conclusão: o mesiodens foi encontrado em uma prevalência baixa (1,5%) nas dentições decídua e mista, e não apresentou associação com outras anomalias dentárias, com exceção da agenesia de incisivo lateral superior.
Palavras-chave: Dente supranumerário. Criança. Prevalência.
Introdução
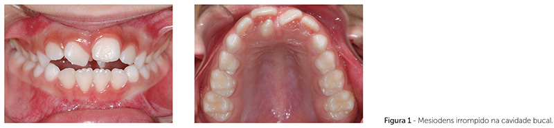
O termo mesiodens refere-se aos dentes supranumerários localizados na região da pré-maxila, exatamente entre os incisivos centrais superiores (Fig. 1 e 2). São os mais frequentes entre os dentes supranumerários1,2. A prevalência do mesiodens na literatura é variada, e tem sido estimada de 0,15 a 7,8% (Tab. 1). Sua prevalência é maior no sexo masculino, numa proporção aproximada de 2:13-10. Embora sua etiologia não tenha sido estabelecida, menciona-se na literatura a possibilidade genética, dada a sua recorrência familiar4,11,12,13. Tem sido sugerido um traço autossômico dominante, com falta de penetrância em algumas gerações13, e uma herança ligada ao cromossomo X devido à alta prevalência nos homens.
Na maioria das vezes, o mesiodens é um dente solitário3,4,5,7,14 e dismórfico11, mas que pode variar em morfologia desde uma forma rudimentar cônica de tamanho reduzido, mais frequente4,7,8,9,14,18, até uma forma complexa com vários tubérculos. Raramente o mesiodens irrompe espontaneamente8,10,14,17. Sua erupção apenas ocorre nas situações em que o mesiodens está voltado para o plano oclusal. Na maioria das vezes, o mesiodens está invertido, com a coroa voltada para a cavidade nasal e o ápice radicular voltado para a cavidade bucal3,8,9. Sua presença pode ocasionar desordens locais, sendo as mais comuns o atraso ou impedimento da erupção de dentes, deslocamento ou rotação dos dentes adjacentes, desenvolvimento de cistos dentígeros, reabsorção de raízes adjacentes, apinhamento, diastema ou dilaceração dos dentes permanentes1,3,4,5,7-11,14,17.
Estudos sugerem uma tendência genética e hereditária na etiologia das anomalias dentárias de número, tamanho, posição. Tais evidências provêm de investigações em famílias, em gêmeos monozigóticos e da observação de associações na ocorrência de determinadas anomalias11,19,20. A agenesia dentária mostra-se frequentemente associada com outras anomalias dentárias, como microdontia, ectopias e atraso eruptivo, mais do que se esperaria ao acaso19,20,21. A associação dessas ocorrências foi denominada de padrão de anomalias dentárias (dental anomaly patterns – DAP) por Peck20. Isso se explica porque um mesmo gene mutante pode ser responsável por mais de uma característica morfológica e/ou funcional.
Dois estudos prévios verificaram a associação entre supranumerários em geral e outras anomalias dentárias, incluindo agenesias dentárias, microdontia e erupção ectópica19,21. Os achados mostraram que a frequência de dentes supranumerários não foi elevada em pacientes com anomalias dentárias hipoplásicas19,21. No entanto, nenhum estudo prévio verificou a associação exclusiva de supranumerários do tipo mesiodens com outras anomalias dentárias. Portanto, o objetivo do presente trabalho foi determinar a prevalência de mesiodens em crianças nos estágios de dentição decídua e mista, e verificar sua associação com outras anomalias dentárias.
Material e Métodos
Foi avaliada a documentação ortodôntica de 1.995 pacientes, nos estágios de dentição decídua e mista, matriculados no curso de Ortodontia Preventiva e Interceptiva da Profis (Bauru/SP). As radiografias panorâmicas e periapicais foram analisadas em negatoscópio por um único examinador. Os critérios de inclusão foram: estágios de dentição decídua ou mista, presença de pelo menos um dente supranumerário na região da pré-maxila. Os critérios de exclusão foram: presença de anomalias craniofaciais, presença de síndromes, história de extração dentária e documentação incompleta. Após a análise inicial, uma amostra de 30 pacientes com mesiodens, com idade variando de 4 a 13 anos e idade média de 8 anos e 3 meses foi obtida.
As seguintes características foram avaliadas: 1) distribuição entre os sexos; 2) número de mesiodens; 3) se irrompido ou não irrompido; 4) direção (se voltado para a cavidade bucal ou nasal); 5) complicações causadas pelo mesiodens; 6) tratamento instituído; e 7) anomalias dentárias associadas. A partir dessa amostra de 30 pacientes, foi analisada a presença de outras anomalias, tais como: agenesias de dentes permanentes, microdontia, erupção ectópica dos primeiros molares permanentes superiores, transposição entre incisivo lateral e canino permanentes inferiores, erupção ectópica dos caninos superiores por palatino, transposição entre canino e primeiro pré-molar superior, distoangulação do segundo pré-molar inferior, infraoclusão dos molares decíduos e atraso no desenvolvimento dentário e dentes supranumerários (além do mesiodens).
O diagnóstico da erupção ectópica de caninos seguiu os parâmetros radiográficos sugeridos por Lindauer et al.22, confirmados pela interpretação de radiografias periapicais pela técnica de Clark. Considerando os achados de Ericson e Kurol23, que nas crianças com idade inferior a 10 anos de idade a tentativa de determinar radiograficamente o padrão de erupção dos caninos superiores é geralmente de pouco valor, indivíduos cujos únicos registros radiográficos foram em uma idade menor do que 10 anos de idade foram omitidos da amostra na avaliação para erupção ectópica de caninos. O diagnóstico de angulação distal dos segundos pré-molares seguiram os critérios descritos por Shalish et al.24, utilizando a borda inferior da mandíbula como uma linha base. O incisivo lateral superior foi considerado microdente quando o diâmetro mesiodistal da coroa fosse menor em comparação com a mesma dimensão do incisivo inferior no mesmo paciente19. Nessa categoria também se incluíram os incisivos laterais conoides.
A comparação da prevalência de anomalias na amostra estudada comparada a valores de referência para a população em geral foi realizada empregando o teste qui-quadrado (c2), sendo adotado um nível de significância de 5% (p < 0,05). O odds ratio (OR) foi calculado com intervalo de confiança de 95% para medir a força de associações entre supranumerários mesiodens e a presença de outras anomalias dentárias investigadas.
Resultados
A prevalência do mesiodens correspondeu a 1,5%, com uma proporção de 1,5:1 para o sexo masculino em relação ao sexo feminino (Tab. 1, 2). Entre os pacientes afetados, 80% apresentaram apenas um mesiodens, e 20% dois mesiodens (Tab. 3). Três em cada quatro mesiodens permaneceram inclusos e na posição vertical (normal, voltado para cavidade bucal), e mais de 80% tiveram indicação de extração (Tab. 4). As complicações mais comuns relacionadas ao mesiodens incluíram atraso eruptivo dos incisivos centrais superiores e diastema de linha média (Tab. 5). Nenhuma associação entre mesiodens e outras anomalias dentárias foi encontrada, com exceção da agenesia de incisivos laterais superiores (Tab. 6).
Discussão
O presente estudo retrospectivo avaliou radiografias panorâmicas de 1.995 pacientes a partir da dentição decídua ou no início da dentição mista, sem história pregressa de tratamento ortodôntico. Foram diagnosticados 36 mesiodens em 30 pacientes, o que correspondeu a 1,5% da amostra estudada. Essa prevalência foi aproximadamente a mesma encontrada nos estudos de Hurlen e Humerfelt 17 (1,4%) e de Salcido-García et al.18 (1,6%)e se aproxima muito da frequência média calculada pelos valores da Tabela 1 (1,67%).
Em relação ao dimorfismo sexual, observou-se que o mesiodens foi mais comum no sexo masculino, numa proporção de 1,5:1 (Tab. 2), corroborando outros relatos da literatura5-10,14. Em um estudo retrospectivo realizado na Índia8, também com uma amostra de 30 pacientes apresentando mesiodens, observou-se a mesma proporção de 1,5:1 do sexo masculino em relação ao feminino. Proporções de 2:19; 2,5:15; e até 4:17 do sexo masculino em relação ao feminino têm sido descritas em outros trabalhos. O dimorfismo sexual no mesiodens foi diferente do diformismo sexual para a agenesia. As agenesias dentárias são mais frequentes no sexo feminino, numa proporção aproximada de 2:119,25.
Em 80% dos pacientes foi encontrado um único mesiodens, e nos 20% restantes, dois mesiodens (Tab. 3). Uma proporção muito próxima foi relatada em um estudo clínico e radiográfico com 90 pacientes e 113 mesiodens10. A maioria dos pacientes (78%) apresentou um único mesiodens, e o restante dois mesiodens. A mesma tendência foi descrita por Kim e Lee7, onde 75% dos pacientes apresentaram apenas um mesiodens e 25% dois mesiodens. Um paciente apresentando três mesiodens também já foi descrito em um estudo retrospectivo com crianças japonesas3.
Dos 36 mesiodens encontrados na amostra, 27 deles (75%) encontravam-se não irrompidos e 9 (25%) irrompidos na cavidade bucal (Tab. 4). Os trabalhos são unânimes em demonstrar que a maior parte dos mesiodens permanecem inclusos ou impactados6,8,9,10,14,18. Por esse motivo, esse dente supranumerário, muitas vezes, só é descoberto em radiografias de rotina que foram solicitadas por outros motivos9. O mesiodens também pode ser identificado em radiografias solicitadas para controle de traumas acometendo incisivos ou devido a atrasos de erupção na região de incisivos permanentes. Esses fatores representam as causas mais comuns de se descobrir o mesiodens9.
O mesiodens é encontrado mais comumente em uma posição vertical, voltado para a cavidade bucal, o que se pode considerar uma posição dentária normal, mas também pode ser encontrado invertido ou ainda numa posição horizontal4,5,9,14. Na presente amostra, a posição mais encontrada do mesiodens foi a posição normal, ou seja, vertical e voltado para a cavidade bucal. O mesiodens foi encontrado nessa posição em 75% dos casos, seguido da posição invertida e, por último, a horizontal (Tab. 4) — constatação já apresentada na literatura4,9,14. Esses resultados, no entanto, divergiram de outro estudo realizado com crianças coreanas, em que a direção mais comum foi com o longo eixo do mesiodens voltado para a cavidade nasal ou invertido, encontrada em 52% da amostra, seguido da posição normal (38%) e, por fim, horizontal (10%)7. Essa mesma tendência foi encontrada em crianças japonesas em um estudo com 200 pacientes apresentando 256 mesiodens. A direção predominante foi a invertida (67%), seguida da posição normal (27%) e horizontal (6%)3.
O plano de tratamento de escolha mais comum para o mesiodens é a exodontia4,7. A remoção do mesiodens na dentição decídua usualmente não é recomendada devido ao risco de lesar o incisivo permanente em formação e, também, pelo aspecto da cooperação4,9. Dessa forma, em um primeiro momento, o acompanhamento clínico e radiográfico pode ser a conduta a ser adotada nos casos em que o mesiodens não está causando uma má oclusão ou não vai interferir no tratamento ortodôntico9,14. No presente trabalho, 86,1% dos mesiodens foram removidos cirurgicamente, aproximadamente na mesma época em que foram diagnosticados. Os 13,9% restantes foram acompanhados radiograficamente pela ausência de interferência com o desenvolvimento da oclusão (Tab. 4).
As principais complicações associadas ao mesiodens foram o atraso na erupção dos incisivos permanentes (34,28%), o diastema mediano (28,57%) e giroversão do incisivo permanente (17,14%). Outras desordens locais também estiveram associadas à presença do mesiodens (Tab. 5). Resultados semelhantes são relatados na literatura7,9,14.
Com relação à presença de outras anomalias dentárias, observou-se que 22 pacientes (73,3% da amostra) não apresentavam outra anomalia dentária associada. Nos outros oito pacientes (26,7% da amostra), observou-se a presença de dente conoide/microdontia, dentes supranumerários (além do mesiodens), distoangulação de segundos pré-molares inferiores, e agenesias, totalizando 12 anomalias associadas (Tab. 6).
Os resultados estatísticos mostram que os pacientes com mesiodens não apresentam, em geral, prevalência aumentada de agenesias de dentes permanentes e de microdontia do incisivo lateral (Tab. 6). No entanto, a prevalência de agenesia de incisivos laterais, especificamente, apresentou-se aproximadamente cinco vezes maior na amostra avaliada em comparação à população em geral. Essa associação incomum, a presença de um supranumerário mesiodens e agenesia de incisivo lateral, já havia sido descrita na literatura por meio da apresentação de um caso clínico, e a interpretação dos autores com relação a essa associação foi uma possível transposição entre um incisivo lateral mal formado e o incisivo central26.
Na amostra de pacientes com mesiodens, foi identificado um paciente (3,3%) com distoangulação de segundos pré-molares inferiores. Devido à pequena prevalência dessa anomalia na população em geral (0,19%), os resultados foram considerados estatisticamente significativos (Tab. 6). No entanto, considerando o tamanho pequeno da amostra, esse resultado pode ter ocorrido ao acaso, devendo ser interpretado com cautela. Amostras mais abrangentes deveriam ser utilizadas para confirmar essa associação.
A erupção ectópica de caninos superiores foi diagnosticada em um único paciente. Entretanto, considerando que o paciente apresentava 8 anos e que o diagnóstico de ectopia em radiografias panorâmicas é mais confiável a partir dos 10 anos23, essa anomalia não foi considerada.
Conclusões
1) O mesiodens foi encontrado em uma prevalência de 1,5% de crianças na fase de dentição decídua e mista, sendo mais comum no sexo masculino, em uma proporção de 1,5:1.
2) O mesiodens apareceu associado a desordens locais, como giroversão, atraso eruptivo ou impacção, diastema, reabsorção radicular e dilaceração de raiz.
3) O mesiodens esteve associado a outras anomalias dentárias em 26,7% das crianças.
4) A prevalência de agenesia de incisivos laterais superiores mostrou-se aumentada em crianças com mesiodens, comparada à população em geral.
» O(s) paciente(s) que aparece(m) no presente artigo autorizou(aram) previamente a publicação de suas fotografias faciais e intrabucais, e/ou radiografias.
Como citar este artigo: Lara TS, Lancia M, Silva Filho OG, Garib DG, Ozawa TO. Prevalence of mesiodens in orthodontic patients with deciduous and mixed dentition and its association with other dental anomalies. Dental Press J Orthod. 2013 Nov-Dec;18(6):93-9.
Enviado em: 10 de setembro de 2011 – Revisado e aceito: 24 de outubro de 2011
» Os autores declaram não ter interesses associativos, comerciais, de propriedade ou financeiros, que representem conflito de interesse, nos produtos e companhias descritos nesse artigo.
Endereço para correspondência: Tulio Silva Lara
Hospital de Reabilitação de Anomalias Craniofaciais / Setor de Ortodontia
Rua Silvio Marchione, 3-20 – CEP: 17.012-900 – Bauru/SP
E-mail: tuliolara@hotmail.com









