Autores: Oswaldo Scopin de Andrade e José Carlos Romanini
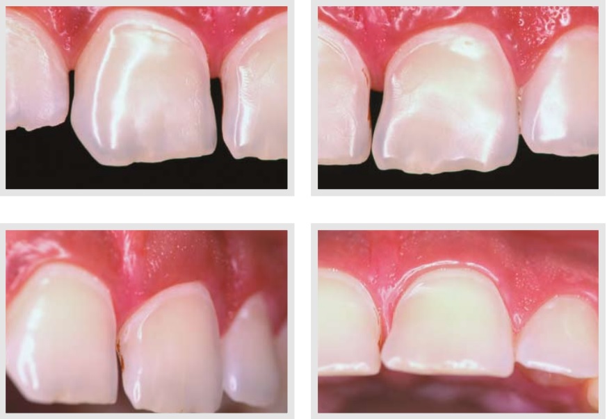
Resumo: A literatura científica atual preconiza para a dentição anterior a opção pelo tratamento mais conservador que devolva ao paciente função e estética. Considerando as estratégias restauradoras disponíveis para o clínico, a utilização de laminados cerâmicos se encaixa nesta definição de tratamento. O profissional deve ter sempre em mente o correto diagnóstico para realizar um correto planejamento seguido de uma sequência adequada para cada caso específico. Utilizando para este tipo de procedimento uma cerâmica passível de condicionamento e silanização e que assim possa ser aderida à estrutura dental.


