A Síndrome de Crouzon é considerada a desordem congênita craniofacial hereditária mais comum, caracterizada pelo fechamento precoce das suturas cranianas, resultando em anomalias que afetam o crânio e o terço médio de face. O cirurgião buco-maxilo-facial Augusto Pary e o ortodontista Julio Pedra e Cal Neto, associados a diversos hospitais e universidades públicas do Rio de Janeiro, apresentaram na Revista Clínica de Ortodontia Dental Press (v17n2) um caso clínico de sucesso, em que uma paciente adulta portadora da síndrome, que nunca havia sido tratada, passou por tratamento ortodôntico-cirúrgico e teve sua oclusão e estética facial restabelecidas.
Para a realização do caso, a osteotomia Le Fort III tradicional foi modificada para não incluir a região nasal e foi associada à osteotomia Le Fort I, para correção da hipoplasia de terço médio de face. Osteotomias mandibulares também foram necessárias para correção total da deformidade.
O artigo, intitulado Tratamento ortodôntico-cirúrgico da Síndrome de Crouzon em paciente adulto: relato de caso clínico discute as decisões relacionadas ao planejamento cirúrgico-ortodôntico e descreve, em detalhes, a técnica cirúrgica da osteotomia Le Fort III modificada. Os pesquisadores concluíram que individualização do tratamento é essencial para se ter resultados de sucesso em casos desse tipo.
Diagnóstico
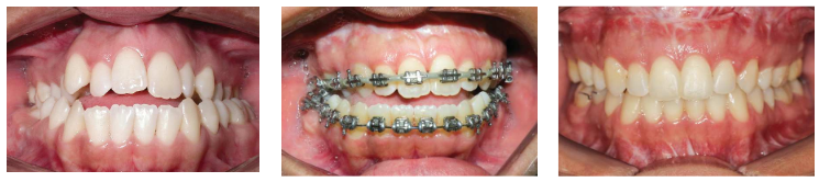
De acordo com o texto, a paciente de 23 anos já era diagnosticada como portadora de Síndrome de Crouzon desde a infância, mas não havia sido submetida a tratamento algum. Ao procurar por tratamento, não apresentava nenhum comprometimento neurológico, porém estava descontente com sua má oclusão dentária, função respiratória e estética facial.

O exame clínico facial revelou proptose ocular moderada associada à hipoplasia de terço médio de face, relação invertida de lábios, excesso vertical de mento e plano mandibular excessivamente inclinado. O exame nasal revelou rinodesvio para a esquerda, desvio septal, retração de columela, dorso nasal adunco e má definição de ponta nasal.
Já o exame intrabucal e de modelos revelou má oclusão de Classe III com overjet de – 7mm, ausência do dente #46, mordida aberta anterior, desvio de linha média dentária superior de 4mm para a esquerda, e discrepância transversa de 8mm, evidenciada pela mordida cruzada posterior, associada a apinhamento dentário na arcada superior. Radiograficamente, foi observada a presença do dente #23 incluso. Com um diagnóstico desses, a dupla de profissionais tinham em suas mãos um desafio e tanto.
Tratamento
Pary e Cal Neto indicaram à paciente um tratamento em duas etapas: expansão rápida da maxila assistida cirurgicamente (ER-MAC), para correção da atresia maxilar, como primeiro procedimento; seguido da cirurgia ortognática, para reposicionamento das bases ósseas, bem como para correção final da oclusão e da estética facial.
A ERMAC foi realizada de forma tradicional, como primeira etapa do tratamento. Após expansão maxilar de 13mm com um disjuntor tipo Hyrax, foi realizado o preparo ortodôntico para alinhamento, nivelamento e descompensações dentárias. Optou-se pela exodontia do elemento #23, que estava incluso, assim como do #14, para retração da bateria labial e correção das inclinações dentárias. A proposta inicial da realização de um implante osseointegrável na região do #46 foi rejeitada; assim, optou-se pelo fechamento ortodôntico do espaço edêntulo.
Após 19 meses, o preparo ortodôntico foi finalizado, sendo o planejamento da cirurgia ortognática baseado no exame clínico facial e no traçado cefalométrico. Os procedimentos planejados pela dupla de profissionais estão listados abaixo, na sequência cirúrgica:
Após a cirurgia, foi mantido o uso de elásticos intermaxilares para intercuspidação durante dois meses e encaminhada para finalização ortodôntica, que teve duração de 11 meses, até a paciente remover o aparelho.
Atualmente, ela encontra-se em quatro anos de acompanhamento pós-operatório, apresentando boa estabilidade oclusal e esquelética.
Individualização
Os profissionais concluíram, ao término do caso, que a variedade na manifestação Síndrome de Crouzon exige que o tratamento seja individualizado e o desenho das osteotomias deve ser modificado, dependendo da exigência do caso. A osteotomia Le Fort III modificada, na qual a região nasal não é envolvida, pode ser uma excelente alternativa em casos em que o dorso nasal já apresenta projeção adequada.

Quando a região nasal não é envolvida na osteotomia, uma rinosseptoplastia pode ser realizada para corrigir outras deformidades estéticas nasais.
A Síndrome de Crouzon também pode estar acompanhada de deformidade mandibular e, assim, osteotomias mandibulares podem ser necessárias para melhor resolução estética.



