
Autora: Ione Helena Vieira Portella Brunharo, Professora Visitante da Universidade do Estado do Rio de Janeiro. Doutora em Ortodontia pela Universidade do Estado do Rio de Janeiro. Diplomada pelo Board Brasileiro de Ortodontia e Ortopedia Facial (BBO).
Introdução
Paciente leucoderma, sexo feminino, com 17 anos e 7 meses de idade, apresentava insatisfação com sua estética facial e dentária, após realização de um tratamento ortodôntico para camuflagem do overjet negativo. A presença de um grande comprometimento do terço facial inferior trazia à paciente um profundo descontentamento com sua face. A anamnese mostrou bom estado geral de saúde e, no histórico familiar, uma herança de prognatismo mandibular pelo lado paterno.
Diagnóstico
O exame facial evidenciou um padrão braquicéfalo, apesar de uma altura mentoniana aumentada. A paciente apresentava leve desvio mandibular para a direita, perfil côncavo e ângulos nasolabial agudo e mentolabial obtuso. A análise do sorriso mostrou linha de sorriso baixa, com pequena exposição dos incisivos superiores e bom preenchimento dos corredores bucais (Fig. 1). Na avaliação extrabucal, foi observado baixo risco de cárie e boas condições de saúde dos tecidos periodontais.
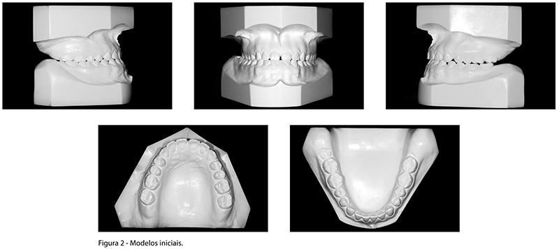
Em oclusão, as arcadas apresentavam relação de molares e de caninos em Classe III de Angle, presença de todos os dentes permanentes, com exceção dos terceiros molares, sobremordida e sobressaliência em relação de topo a topo, devido à compensação ortodôntica realizada previamente. A arcada inferior apresentava inclinação acentuada dos dentes para lingual (Fig. 1, 2).
O exame da radiografia panorâmica mostrou a presença dos dentes permanentes com bom paralelismo radicular e terceiros molares não irrompidos (Fig. 3). A análise cefalométrica revelou padrão esquelético de Classe III (ANB = -8o), ângulo do plano mandibular diminuído (SN-GoGn = 28o) e inclinação lingual dos incisivos inferiores (IMPA = 69o e 1-NB = 4o) (Fig. 4, Tab. 1).
PLANO DE Tratamento
A paciente apresentava grande comprometimento de sua estética facial, em função da direção do crescimento mandibular, o que a deixava tímida para sorrir e se relacionar socialmente. A análise cefalométrica apresentou a maxila em boa relação anteroposterior e a mandíbula à frente da região anterior da base do crânio.
Para correção dessa desarmonia esquelética, a opção terapêutica sugerida foi o tratamento ortodôntico combinado, com descompensação dentária, o que favoreceria a recuperação da autoestima da paciente. Após a discussão do caso com o cirurgião bucomaxilofacial, o planejamento foi exposto para a paciente e duas alternativas foram discutidas. A primeira, com exodontia dos primeiros pré-molares superiores e retração dos incisivos. Nesse caso, haveria facilidade para recolocar a bateria labial superior e a sobressaliência negativa facilmente seria conseguida ortodonticamente. Entretanto, foi esclarecido para a paciente sobre o comprometimento estético que ela apresentaria durante esse preparo, o tempo necessário para o fechamento dos espaços e a necessidade de cirurgia combinada1,2.
A segunda alternativa seria realizar a descompensação dentária aproveitando pequenos espaços presentes na arcada superior e corrigindo a inclinação dos dentes da arcada inferior. Essa opção tornaria o preparo mais rápido para o procedimento cirúrgico e, nesse caso, seria realizado apenas o recuo mandibular2,3. Após esses esclarecimentos, a equipe, juntamente com a paciente, optou por realizar o preparo ortodôntico sem exodontia dos primeiros pré-molares.
Tratamento REALIZADO
A técnica escolhida para realizar o tratamento ortodôntico foi a Edgewise standard, com braquetes metálicos de slot 0,022” x 0,028”. Foi realizado, inicialmente, o alinhamento e nivelamento das arcadas, para descompensação da posição dos dentes nas bases ósseas. O alinhamento foi realizado com fios contínuos de aço inoxidável 0,014” a 0,020”, coordenados.
A seguir, usou-se arco superior 0,017” x 0,025” de aço inoxidável, com torques vestibulares de raiz acentuados nos incisivos, associando mecânica de elástico com direção de Classe II, com apoio em ganchos colocados no espaço interproximal entre caninos e incisivos laterais. A mecânica de elástico utilizada gerava força intermaxilar de aproximadamente 180g. Na arcada inferior, foi usado arco de aço inoxidável 0,020” com ômegas afastados dos tubos. Dessa forma, foi possível permitir a reposição lingual dos incisivos superiores, migração mesial dos dentes posteroinferiores e projeção dos incisivos inferiores para aumentar a sobressaliência negativa.
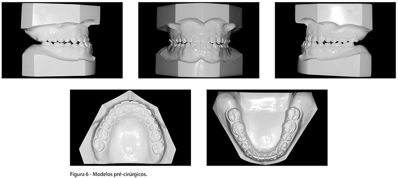
Arcos de aço inoxidável 0,019” x 0,025” foram instalados para promover torques dentários ideais, com ômegas justos e amarrados, que mantinham o perímetro das arcadas. Moldagens foram, então, realizadas para verificar a intercuspidação dentária na fase pré-cirúrgica. Quando uma boa intercuspidação foi obtida, o paciente foi encaminhado para o cirurgião bucomaxilofacial e ganchos foram inseridos nos espaços interbraquetes (Fig. 5, 6, 7).
O procedimento cirúrgico realizado foi o recuo mandibular por meio da técnica vertical. Na fase pós-cirúrgica, foi necessário retornar ao arco 0,020” de aço inoxidável inferior e associar mecânica de elásticos, para correção da linha média e obtenção de relação oclusal ideal (Fig. 8, 9)4.
A contenção foi realizada, na arcada superior, com placa removível tipo wraparound e, na arcada inferior, barra intercaninos fixa, confeccionada com fio 0,020” de aço inoxidável e colada dente a dente.
Resultados Obtidos
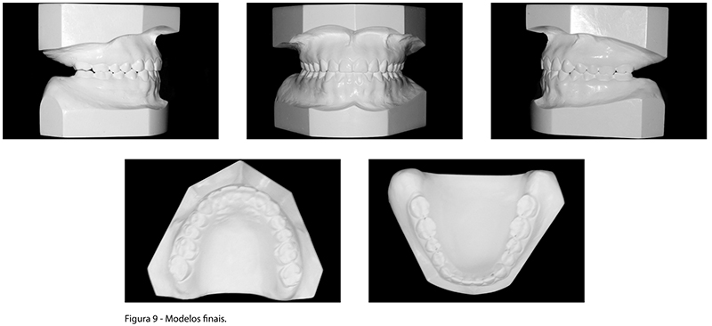
Após a remoção do aparelho ortodôntico, foi solicitada documentação final. Verificou-se a manutenção da posição da maxila e a redução da posição anteroposterior da mandíbula (SNA = 80o, SNB = 81o), que sofreu giro no sentido horário (SN-GoGn = 35o, FMA = 27o) (Tab. 1) (Fig. 8 a 12).
Foi obtido bom relacionamento entre as arcadas, com relação dos molares e dos caninos em chave de oclusão e níveis normais de sobremordida e sobressaliência. Os resultados proporcionaram equilíbrio funcional e boas condições de saúde aos tecidos periodontais (Fig. 8-12).
Considerações Finais
O tratamento ortodôntico-cirúrgico combinado da má oclusão de Classe III com comprometimento esquelético tem grande aceitação entre os pacientes que buscam a correção do problema. A camuflagem ortodôntica desse problema requer a avaliação de considerações no que tange à questão facial, pois, quando a estética não é satisfatória, o tratamento apenas ortodôntico não é bem-sucedido5.
No caso relatado, o tratamento foi realizado dentro das expectativas do planejamento. As questões sobre a estabilidade cirúrgica ficaram em aberto, uma vez que a paciente não aceitou a proposta inicial de exodontia de primeiros pré-molares superiores no preparo pré-cirúrgico. Assim, houve bastante dificuldade para obtenção da sobressaliência negativa, apesar de o resultado facial estético ter sido interessante. Por esse motivo, o caso requer supervisão constante durante a contenção4.
A paciente e os responsáveis mostraram-se bastante satisfeitos com o resultado final obtido, que melhorou significativamente sua autoestima.
Referências
1. Phillips C, Proffit WR. Phycosocial aspects of dentofacial deformities and its treatment. In: Proffit WR, Fields HW, Sarver DM, editors. Contemporary treatment of dentofacial deformity. St. Louis: Mosby; 2003. Chap. 3.
2. Proffit WR, Phillips C, Sarver DM. Tratamento cirúrgico e ortodôntico combinados. In: Proffit WR, Fields HW, Sarver DM, editors. Ortodontia contemporânea. Rio de Janeiro: Mosby; 2007. Cap. 8.
3. Proffit WR, Phillips C, Sarver DM. Tratamento cirúrgico e ortodôntico combinados. In: Proffit WR, Fields HW, Sarver DM, editors. Ortodontia contemporânea. Rio de Janeiro: Mosby; 2007. Cap. 7
4. Blaker GH III, White Jr RP. Mandibular surgery. In: Proffit WR, Fields HW, Sarver DM, editors. Contemporary treatment of dentofacial deformity. St. Louis: Mosby; 2003. Chap. 10.
5. Kiyak HA, West RA, Hohl T, McNeill RW. The psychological impact of orthognatic surgery: a 9-month follow-up. Am J Orthod. 1982;81(5):404-12.
Endereço para correspondência: Ione Helena Vieira Portella Brunharo
Rua Almirante Tamandaré, 59 – Rio de Janeiro/RJ – CEP: 22.210-060
Email: ioneportella@yahoo.com.br
Como citar este artigo: Brunharo IHVP. Surgical treatment of dental and skeletal Class III malocclusion. Dental Press J Orthod. 2013 Jan-Feb; 18(1):143-9.
» A autora declara não ter interesses associativos, comerciais, de propriedade ou financeiros, que representem conflito de interesse nos produtos e companhias descritos nesse artigo.
» A paciente que ilustra o presente artigo autorizou previamente a publicação de suas fotografias faciais e intrabucais.












