O presente relato de caso aborda o tratamento de uma má oclusão de Classe II de Angle em paciente do sexo feminino, adulta, face longa, com mordida aberta posterior, e arcadas dentárias extremamente expandidas, decorrente de tratamento prévio. A não aceitação, por parte da paciente e de seus pais, de um tratamento envolvendo cirurgia ortognática levou à realização de camuflagem ortodôntica das discrepâncias esqueléticas. Esse caso clínico foi apresentado à Diretoria do Board Brasileiro de Ortodontia e Ortopedia Facial (BBO) como parte dos requisitos para obtenção do título de Diplomado pelo BBO.
Palavras-chave: Classe II de Angle. Mordida aberta anterior. Camuflagem ortodôntica.
Introdução
Paciente do sexo feminino procurou tratamento com 18 anos e 7 meses de idade, com a queixa principal de que, após sete anos de tratamento com aparelhos removíveis, não estava satisfeita com o resultado final e não conseguia “mastigar os alimentos com os dentes posteriores”, engolindo a comida quase inteira, em grandes pedaços. Não havia dados relevantes em sua história médica.
Diagnóstico
A paciente apresentava um padrão esquelético de Classe II, caracterizado por deficiência mandibular, com ângulo ANB de 6o (SNA = 82o e SNB = 76o) (Tab. 1). O perfil era convexo, com ângulo nasolabial obtuso, ápice nasal levemente desviado para a direita, face longa, com ausência de selamento labial passivo, terço inferior da face aumentado e linha queixo-pescoço curta (Fig. 1).
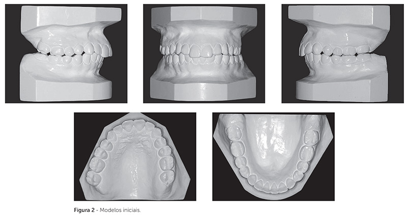
O exame intrabucal revelou a presença de má oclusão de Classe II, 1ª divisão de Angle, arcadas dentárias superior e inferior expandidas e assimétricas, sobressaliência de 6mm, mordida aberta posterior, com contato oclusal apenas nos segundos molares, e desgastes excessivos nas cúspides dos molares superiores e inferiores, devido a uma tentativa de ajuste oclusal (Fig. 1, 2). Os incisivos superiores e inferiores estavam protruídos e inclinados para vestibular, com arredondamento apical das raízes dos incisivos superiores (Fig. 3, 4, 5).
Plano de Tratamento
A primeira opção de plano de tratamento apresentada aos pais e à paciente foi o tratamento combinado ortodôntico-cirúrgico, que foi descartado de imediato. Dessa forma, foi apresentada uma alternativa envolvendo camuflagem ortodôntica, que consistia no uso de aparelho ortodôntico fixo superior e inferior, com extração de quatro pré-molares.
Os espaços obtidos com as extrações seriam, então, usados para corrigir a relação de molares e de caninos e a sobressaliência, possibilitando a obtenção de contato na região anterior. A contração da arcada superior seria feita com a utilização de barra palatina removível, auxiliada pelo uso de arcos contraídos, indicados tanto na arcada superior quanto na inferior. A finalização e a intercuspidação seriam feitas com arcos Braided e elásticos intermaxilares (5/16” pesados). A contenção planejada foi a placa superior removível tipo wraparound e barra lingual intercaninos.
Dessa forma, os objetivos do tratamento foram reduzir o ângulo SNA, pela leve retração dos incisivos superiores, manter a posição vertical da maxila e da mandíbula, contrair as arcadas dentárias superior e inferior, corrigir a relação de molares e de caninos, corrigir a mordida aberta e corrigir a sobremordida e a sobressaliência, melhorando, se possível, seu perfil facial.
Progresso do tratamento
Os primeiros e segundos molares superiores e inferiores foram bandados e os demais dentes, colados. Foram usados braquetes da técnica Straight-Wire prescrição Roth (slot 0,022” x 0,028”). Foi instalada barra palatina contraída nos primeiros molares superiores e foram solicitadas as extrações dos primeiros pré-molares superiores e dos segundos pré-molares inferiores.
O alinhamento e nivelamento teve início após a remoção desses dentes e, para tal, foram utilizados fios de NiTi 0,014”, 0,016” e 0,018”; fio australiano 0,020” e arcos confeccionados com fio de NiTi 0,017” x 0,025”. Em seguida, teve início o fechamento dos espaços — utilizando-se arcos confeccionados com aço inoxidável 0,019” x 0,025” —, com predomínio de retração dos dentes anteriores, na arcada superior, e perda de ancoragem dos dentes posteriores, na arcada inferior.
Após algumas sessões, observou-se dificuldade de movimentação dos dentes do lado inferior direito. Então, optou-se pela colocação de mini-implante nessa região, como meio de ancoragem esquelética, até o completo fechamento dos espaços. A intercuspidação foi realizada conforme planejado, utilizando-se fios Braided 0,021” x 0,025” e elásticos intermaxilares 5/16” (150 gf).
Resultados
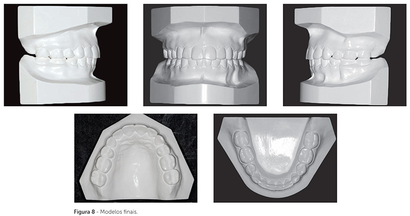
Houve manutenção da posição vertical tanto da maxila quanto da mandíbula, com leve redução do ângulo SNA, o que levou à redução do ângulo ANB (Tab. 1). Foi obtida relação de chave de oclusão nos molares e caninos, em ambos os lados, com fechamento da mordida aberta posterior, correção da sobressaliência e contração das arcadas superior e inferior (Fig. 7, 8).
Foi observada diminuição de 10mm e 11mm, respectivamente, na distância intermolares superiores e inferiores, e diminuição de 3mm na distância intercaninos superiores e inferiores, em ambas as arcadas. Observou-se leve aumento do ângulo nasolabial, devido à retrusão dos dentes anteriores superiores, com pouca alteração do perfil facial, permanecendo a ausência de selamento labial passivo e a hiperatividade do músculo mentalis.
Foi obtido bom paralelismo radicular ao final do tratamento, conforme observado na radiografia panorâmica (Fig. 9). As radiografias periapicais mostraram leve aumento no remodelamento apical dos incisivos (Fig. 10).
Nas sobreposições cefalométricas, observa-se que houve extrusão do primeiro molar superior, que foi compensada pelo movimento mesial do molar inferior (Fig. 13, 14), o que contribuiu para a manutenção do ângulo do plano mandibular. A grande redução obtida nas distâncias intermolares provavelmente foi favorecida pela movimentação para mesial desses dentes, que passaram a ocupar uma região mais estreita dos ossos basais. Como contenção, utilizou-se barra lingual intercaninos, na arcada inferior, e placa removível tipo wraparound, na superior.
Considerações Finais
A discrepância esquelética de Classe II, com aumento do terço inferior da face, pode ser corrigida por redirecionamento do crescimento, em pacientes jovens; ou por meio de cirurgia ortognática, em pacientes adultos1. Em ambos os casos, é possível a realização de camuflagem ortodôntica quando o crescimento não ocorre a contento ou quando o paciente não aceita o tratamento combinado ortodôntico-cirúrgico2,3.
No presente caso, as extrações de pré-molares forneceram o espaço necessário para a correção da inclinação dos incisivos superiores, a contração de ambas as arcadas e o movimento diferencial do molar inferior para mesial. Essas alterações colaboraram para o fechamento da mordida aberta na região posterior, a correção da relação de Classe II e a redução da sobressaliência.
» O autor declara não ter interesses associativos, comerciais, de propriedade ou financeiros, que representem conflito de interesse nos produtos e companhias descritos nesse artigo.
» A paciente que ilustra o presente artigo autorizou previamente a publicação de suas fotografias faciais e intrabucais.
Como citar este artigo:
Torres JN. Compensatory orthodontic treatment of Angle Class II malocclusion with posterior open bite. Dental Press J Orthod. 2013 Sept-Oct;18(5):140-6.
Endereço para correspondência: José Newton Torres
SCN Qd 2, bloco D, entrada A, sala 911 – Brasília / DF – CEP: 70.712-903
Email: torres.jn@terra.com.br











