Introdução: a Distração Osteogênica (DO) tornou-se uma alternativa para o tratamento das displasias craniofaciais esqueléticas severas. O aparelho distrator externo rígido (RED) é utilizado com êxito para avançar a maxila e todo o complexo maxilar-orbital-frontal (monobloco) em crianças, adolescentes e adultos. Essa abordagem proporciona resultados previsíveis e estáveis, podendo ser aplicada isoladamente ou junto a procedimentos cirúrgicos ortognáticos craniofaciais.
Objetivo: no presente artigo, serão descritos os aspectos técnicos pertinentes a uma adequada aplicação do RED, incluindo o planejamento, procedimentos cirúrgicos e ortodônticos.
Palavras-chave: Distração. Maxila. Face média.
INTRODUÇÃO
A distração osteogênica (DO) tem sido utilizada nas últimas décadas para tratar a hipoplasia da face média, por promover seu significativo avanço (por meio de um processo de estiramento gradual dos ossos da face), quando comparado ao avanço em um só tempo, através da cirurgia ortognática convencional ou cirurgia de monobloco.
A DO pode ser o tratamento de escolha para pacientes portadores das síndromes de Crouzon ou de Apert8,17,23,30; de microssomia hemifacial19; e disostose mandibulofacial, também conhecida como síndrome de Treacher Collins. Sua aplicação bem-sucedida beneficia pacientes com hipoplasia maxilar severa secundária e fendas orofaciais11,12,14,21,22; recém-nascidos que apresentam problemas respiratórios obstrutivos, como os ocorridos nos portadores da sequência de Pierre Robin3,4; e pacientes que apresentam defeitos ósseos amplos resultantes da ressecção de tumores ou decorrentes de traumas.
Molina et al.18 foram os pioneiros na utilização da DO para o avanço maxilar, após osteotomia horizontal incompleta da maxila, com o auxílio da aplicação de tração reversa por meio de máscara facial e elásticos.
Os resultados desses primeiros tratamentos motivaram a exploração de tratamentos alternativos e a formulação de novos distratores com diferentes desenhos — entre eles, o aparelho distrator externo rígido (RED).
APRESENTAÇÃO DA TÉCNICA
DO para avanço maxilar
Aparelho
O aparelho utilizado para realizar a distração osteogênica é composto por uma estrutura externa rígida, descrita na Figura 1A, e por um splint intrabucal (Fig. 1B), que será ligado com fios cirúrgicos (0,018”) aos parafusos distratores, montados entre a haste vertical e as barras horizontais12.
Dois tubos retangulares mediais, soldados à porção anterior do arco vestibular do splint (0,051”), são utilizados para ancorar os ganchos conectores do splint, que serão instalados, no consultório, após a cirurgia — juntamente com a haste vertical anterior de fibra de carbono, os parafusos distratores e as barras horizontais (Fig. 1C). Além disso, no momento da cirurgia, a parte anterior do splint é fixada aos parafusos de ancoragem esquelética, entre os caninos e incisivos laterais superiores, bilateralmente (Fig. 2A). Isso evite a movimentação para baixo do dispositivo durante o processo de distração e o torna bastante rígido, adicionando estabilidade ao splint9.
Cirurgia
O protocolo destinado ao tratamento da DO maxilar com esse distrator externo pode ou não incluir um alinhamento dentário ortodôntico pré-cirúrgico, dependendo do estágio evolutivo da dentição em que se encontra o paciente portador de hipoplasia da maxila e fenda facial severa. A fabricação do splint intrabucal é obrigatória, sendo esse fixado aos dentes em consulta clínica que deixará o paciente pronto para a cirurgia — pois o splint promove um ponto de ancoragem para o avanço maxilar, e as demais estruturas permitem a conexão entre a dentição e o halo externo.
O início da cirurgia é caracterizado pela instalação de mini-implantes entre os ápices radiculares do incisivo lateral e canino superiores de ambos os lados, seguida pela ligação desses ao splint, com fio de aço cirúrgico, o que adiciona segurança à estabilidade intrabucal (Fig. 2A). Em seguida, realiza-se uma osteotomia Le Fort I completa, com disjunção pterigomaxilar.
A maxila não é fraturada e deslocada para baixo, conforme frequentemente verificado durante a cirurgia ortognática convencional. No entanto, o cirurgião deverá assegurar-se da completa mobilidade do osso maxilar. Existe a opção de incluir a base dos ossos malares e, também, o aspecto lateral dos ossos nasais durante a osteotomia, o que possibilita um avanço significativo das regiões nasal e infraorbital (Fig. 2B). O halo externo é fixado seguramente ao crânio, utilizando-se pinos cranianos específicos de titânio. É imperativo o correto posicionamento dos pinos (Fig. 1a, 1b) na parte mais espessa entre os ossos temporal e parietal — normalmente de 3 a 6cm acima do lóbulo da orelha —, paralelamente ou um pouco inclinado para cima em relação ao Plano Horizontal de Frankfort. A haste vertical anterior, os parafusos distratores e as barras horizontais somente serão instalados entre três e sete dias após realizada a cirurgia (período de latência), sem desconforto para o paciente e em ambiente clínico. Quando instalada, a haste vertical é afastada da face, anteriormente, de 3 a 5cm, posicionada na linha média e paralelamente ou divergente em relação à região inferior do plano facial (Fig. 3D, E, F).
A dieta prescrita nas primeiras 24 horas pós-cirúrgicas é a líquida e, em progressão, é incorporada uma dieta pastosa.
Protocolo
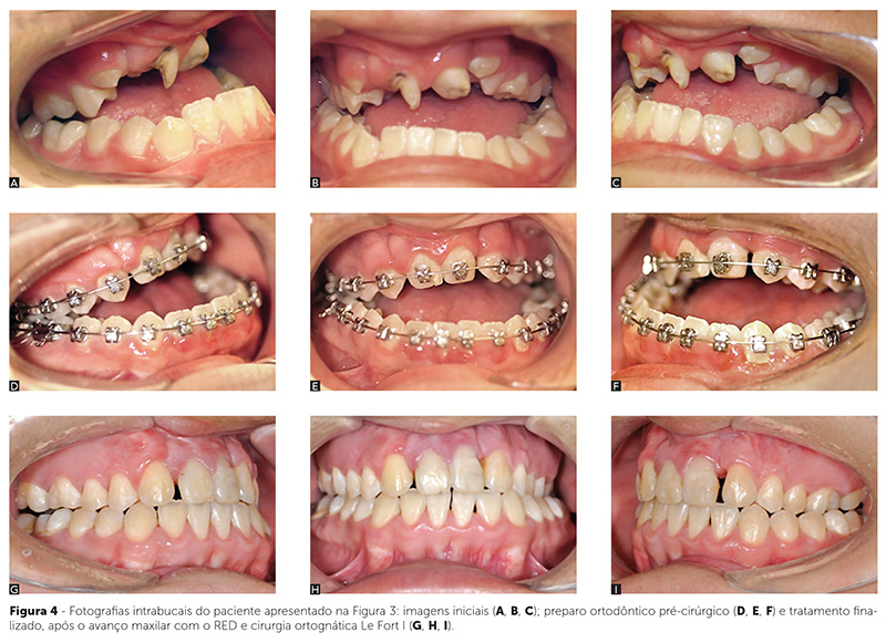
O protocolo de distração segue um ritmo de ativação entre 1 e 2mm por dia, dependendo da severidade da condição e da idade do paciente (nos pacientes jovens, pode não haver período de latência e o ritmo pode ser mais acelerado). Um período aproximado de uma ou duas semanas de distração é suficiente para a correção da maioria dos pacientes, quando é, então, iniciada a fase de consolidação óssea, compreendida entre quatro e oito semanas (Fig. 3, 4, 5). Há ocasiões em que surge uma resistência ao avanço maxilar, no final da fase ativa da distração. Nessas situações, opta-se pela montagem de um segundo sistema distrator na haste vertical. Providencia-se, assim, um sistema de tração com dois sistemas distratores, cada um apresentando dois parafusos para ativação (lado esquerdo e direito), significativamente mais forte e capaz de ultrapassar qualquer resistência oferecida pelos tecidos moles.
Nos pacientes em que é planejado um avanço maxilar extremo, o clínico poderá notar a mobilidade do osso maxilar em até 12 semanas após a remoção do halo externo. Caso a mobilidade da maxila provoque desconforto, o cirurgião poderá decidir pela fixação de placas rígidas, para aumentar a estabilidade do osso maxilar. Interessa ressaltar que, nos pacientes em que há consolidação insuficiente da maxila, ocorre mobilidade óssea nos planos vertical e transverso, e praticamente nenhuma tendência de movimento anterior ou posterior.
Contenção
Após a consolidação da maxila, remove-se o halo externo, as barras horizontais, os parafusos distratores e os fios cirúrgicos, em ambiente clínico. Frequentemente, é desnecessário anestesiar os pacientes adolescentes e adultos, ao contrário do que ocorre em crianças, nas quais é aconselhável a anestesia em centro cirúrgico e sob leve sedação. Em seguida, são removidos os ganchos externos componentes do splint intrabucal e orienta-se o paciente para o uso noturno da máscara facial de Petit, promovendo uma contenção ativa. A máscara é usada com elásticos, por meio dos quais se exerce uma carga de 400 a 500gf, por seis a oito semanas, até constatar-se clinicamente a estabilidade da maxila em sua nova posição, sendo, então, possível remover o splint intrabucal e iniciar, ou reiniciar, o tratamento ortodôntico.
DO para avanço da face média em monobloco
Em casos de pacientes com síndromes craniofaciais severas, envolvendo importantes deficiências frontal, orbital e maxilar, o uso do aparelho distrator externo rígido também promove melhoria dessa condição (Fig. 6, 7). A técnica de avanço da face média em monobloco segue passos similares aos realizados nos pacientes que necessitam exclusivamente de avanço maxilar.
Inicia-se com o preparo ortodôntico opcional e segue-se para a confecção do splint intrabucal. No momento cirúrgico, o splint é fixado ao osso maxilar por meio de parafusos de titânio. Realiza-se a incisão e uma osteotomia clássica, para a separação em monobloco20, culminando com a completa mobilização do segmento esquelético. A fixação rígida entre o osso frontal e as protuberâncias supraorbitais é feita por meio da instalação de três placas de titânio (Fig. 2B). Além disso, duas placas laterais são destinadas à ancoragem dos parafusos que, futuramente, receberão o pino de tração superior, que perfura e atravessa a pele ao nível das sobrancelhas (Fig. 2C). Após a ancoragem dos pinos de tração, a incisão coronal é suturada e o cirurgião posiciona o halo externo craniano.
Nos casos com síndromes craniofaciais já tratados cirurgicamente, é importante fixar com cautela os pinos cranianos, pois muitos pacientes possuem defeitos cranianos próprios da condição ou derivados de cirurgia(s) prévia(s). Cuida-se para que o halo seja adequadamente ancorado em osso sólido. A parte anterior do halo é posicionada distando 2 a 3cm da fronte — estando o halo localizado paralelamente, ou um pouco inclinado para cima, em relação ao Plano Horizontal de Frankfurt — e de 3 a 6cm acima do lóbulo da orelha. O paciente retornará cinco a sete dias após a cirurgia e será, então, instalado, em ambiente clínico, o aparelho distrator com dois sistemas de distração: um superior, ao nível supraorbital, por meio dos pinos de tração; e um inferior, ao nível dentário, através dos ganchos externos ligados com fios cirúrgicos ao splint intrabucal (Fig. 6C, D, E).
O protocolo de distração é similar ao aplicado em pacientes com avanço maxilar apenas, em um ritmo de ativação de 1 a 2mm diário, até se alcançar a correção da deformidade esquelética. O ritmo da distração pode precisar ser desacelerado se o paciente apresentar sinais de vazamento de fluido cérebro-espinhal. O ritmo também pode ser aumentado em casos de deficiências severas, especialmente em pacientes jovens, que possuem maior potencial de cicatrização. Nos casos submetidos ao avanço em monobloco, é impossível utilizar-se uma máscara facial como contenção; portanto, é recomendado que o período de consolidação seja mais longo do que nos pacientes com fenda, ou limitado até o momento em que o clínico assegure a estabilidade do segmento esquelético, por meio de exames clínico, radiográfico e topográfico.
DISCUSSÃO
O tratamento padrão dos pacientes com deformidades dentofaciais é a cirurgia ortognática associada ao tratamento ortodôntico. Os procedimentos cirúrgicos de escolha para a correção dessas condições englobam a osteotomia Le Fort I, a osteotomia Le Fort III, a expansão rápida da maxila assistida cirurgicamente, e a osteotomia sagital do ramo mandibular; todos com utilização de técnicas de fixação rígida.
Essas abordagens frequentemente proporcionam correção bem-sucedida e previsível, porém, resultado satisfatório semelhante não é esperado quando a técnica é realizada em pacientes portadores de condições mais graves ou complexas, relacionadas à hipoplasia maxilar severa, a fendas orofaciais e a síndromes31.
O avanço maxilar em pacientes sem fendas é mais estável em longo prazo do que nos pacientes portadores de fendas1,7. Em vez do avanço radical realizado nas cirurgias ortognáticas convencionais, o segmento será gradualmente avançado e evitar-se-á as principais desvantagens do rápido avanço, ou seja: o extravasamento do fluido cérebro-espinhal; a criação de um espaço intracraniano vulnerável à infecção; a necessidade de enxerto ósseo volumoso e de fixação óssea5. Em adição, existe limitação na quantidade de avanço, ditada pelas restrições dos tecidos moles33; o tratamento radical requer transfusões sanguíneas17 e, por fim, questiona-se a estabilidade em longo prazo26. Em contrapartida, as vantagens do avanço gradual do segmento em monobloco incluem: um avanço estável e previsível da face média; redução das complicações, focalizando as infecções; redução da morbidade intra e pós-operatória; simplificação do procedimento; não requer enxerto ósseo e, nem tampouco, a fixação rígida; o tempo cirúrgico é menor e também diminui o risco da necessidade de transfusão sanguínea.
Tanto os pacientes com fendas quanto os que apresentam síndromes, experimentam estabilidade resultante dos tratamentos com, respectivamente, avanço da maxila e da face média (Fig. 8). A grande quantidade de formação óssea na área pterigomaxilar é o acontecimento crucial que favorece esse prognóstico. Além do volume, o tipo de osso lamelar denso — verificado em exame histológico e radiográfico11,16 — fortalece o prognóstico. Essa formação óssea local também possibilita espaço adicional para a erupção dentária (Fig. 9)28.
Existe, ainda, a possibilidade de se conjugar o tratamento com o RED e a cirurgia ortognática convencional, aplicada em casos nos quais somente a técnica de distração seria insuficiente, a exemplo de alguns casos onde ocorre limitação de movimento direcional da distração. O benefício de se combinar essas duas técnicas abrange uma correção esquelética resultante, principalmente, da técnica da distração, seguida por um refinamento do posicionamento dos ossos e da oclusão, consequente da cirurgia ortognática; ou do uso de osteotomias com distração simultânea32.
O tratamento de pacientes portadores de hipoplasia maxilar e da face média, dependente da técnica da distração osteogênica, envolve aspectos técnicos que necessitam de mais estudos para esclarecer questões relacionadas à resposta individual ao tratamento. No que se refere à técnica, existem guias para orientar a indicação da distração isolada ou combinada com a cirurgia ortognática convencional. Outras questões são específicas à técnica da distração, como a escolha entre o uso de distratores externos ou internos para as diferentes situações. Os sistemas internos são mais interessantes, pois estão confinados; no entanto, há limitações relacionadas à localização, adaptação e grau de avanço10,24. Outras considerações, ainda desafiadoras, incluem a duração do período de consolidação. Sabe-se que existe relação direta com a idade, já que, nos pacientes mais jovens, esse período é reduzido. Também se pode relacionar diretamente a quantidade de avanço à duração do tempo ideal de consolidação, o que poderá tornar a fase de consolidação muito longa e até impraticável. Dessa forma, é vital se obter um relacionamento de cooperação entre clínicos e pesquisadores, para possibilitar a redução da fase de consolidação na técnica de distração. O recente uso de proteínas morfogenéticas, fatores de crescimento e ultrassom de baixa intensidade compõe o esforço científico para esse fim2,6,9,25,27,29. Estudos procuram elucidar a resposta dos tecidos moles ao movimento gradual do osso em que estão inseridos. Algumas dessas mudanças parecem mais favoráveis ao se utilizar a técnica da distração do que a cirurgia ortognática convencional, a exemplo da melhora dos lábios e nariz, como consequência do avanço maxilar33. Além disso, percebe-se uma resposta mais positiva dos tecidos velofaringeanos quando se compara o avanço gradual e o radical13,15.
CONSIDERAÇÕES FINAIS
A técnica da distração externa rígida para o avanço da maxila e da face média, em pacientes que apresentam fendas, assim como para os portadores de síndromes craniofaciais severas, mostra-se segura, previsível e estável. O conhecimento clínico disponível para avaliação permite indicar a distração osteogênica como técnica de tratamento para condições que, outrora, eram desafiadoras com a aplicação de técnicas cirúrgicas tradicionais. Contudo, o uso das técnicas de distração não exclui a possibilidade de combiná-las a técnicas cirúrgicas tradicionais. Apesar dos benefícios bem reconhecidos da distração, há, ainda, desafios para a sua adaptação clínica em pacientes com fendas e síndromes. Isso inclui o desenvolvimento de novos aparelhos, a redução do período de consolidação e a compreensão da resposta dos tecidos moles à distração gradual.
Como citar este artigo:
Sant’Anna EF, Cury-Saramago AA, Lau GWT, Polley JW, Figueroa AA. Treatment of midfacial hypoplasia in syndromic and cleft lip and palate patients by means of a rigid external distractor (RED). Dental Press J Orthod. 2013 July-Aug;18(4):134-43.
Enviado em: 31 de maio de 2013 – Revisado e aceito: 5 de junho de 2013
» Os pacientes que aparecem no presente artigo autorizaram previamente a publicação de suas fotografias faciais e intrabucais.
» Os autores declaram não ter interesses associativos, comerciais, de propriedade ou financeiros, que representem conflito de interesse, nos produtos e companhias descritos nesse artigo.
Endereço para correspondência: Eduardo Franzotti Sant’Anna
E-mail: eduardofranzotti@ortodontia.ufrj.br









